25% Off Select Antibodies and ELISA Kits
Sign In/Register 0

We use cookies, check our Privacy Policies.

Actin β Antibody
Actin β Antibody

Assay Biotechnology Inc Antibodies and ELISA Kits have been rigorously validated for laboratory grade quality results. High specificity paired with high affinity for targets of interest give researchers an advantage with our products

Catalog No: C40022
Reactivity:Human,Mouse,Rat,Chicken,Globefish,Bovine,Hamster,Pig,Ovine,Cat,Pig,Dog,Sheep
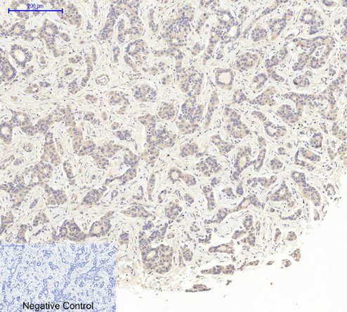
Applications:IF,WB,IHC,ELISA
Modification:Unmodified/Total
Source:Polyclonal,Rabbit,IgG
Storage and Stability:Store at -20°C/1 year

$184
Product Details
Product Name
Actin β Antibody
Description
This gene encodes one of six different actin proteins. Actins are highly conserved proteins that are involved in cell motility, structure, and integrity. This actin is a major constituent of the contractile apparatus and one of the two nonmuscle cytoskeletal actins. [provided by RefSeq, Jul 2008],
Catalog No
C40022
Reactivity
Human, Mouse, Rat, Chicken, Globefish, Bovine, Hamster, Pig, Ovine, Cat, Pig, Dog, Sheep
Source
Polyclonal, Rabbit,IgG
Modification
Unmodified/Total
Applications
IF, WB, IHC, ELISA
Dilution
IF 1:50-200 WB 1:2000 - 1:10000. IHC 1:100 - 1:300. ELISA: 1:20000. Not yet tested in other applications.
Purification
The antibody was affinity-purified from rabbit antiserum by affinity-chromatography using epitope-specific immunogen.
Concentration
1 mg/ml
Storage and Stability
Store at -20°C/1 year
Other Name
ACTB; Actin; cytoplasmic 1; Beta-actin; Actin β; β-Actin; Beta actin
Molecular Weight (Da or kDa)
Gene Name
ACTB
Protein Name
Actin cytoplasmic 1
Human Gene ID
60
Human Swiss Prot No.
P60709
Immunogen
Synthesized peptide derived from the N-terminal region of human Actin β. AA range: 1-80
Specificity
Actin β Polyclonal Antibody detects endogenous levels of Actin β protein.
Formulation
Liquid in PBS containing 50% glycerol, 0.5% BSA and 0.02% sodium azide.
Related Products
Publications (80)