25% Off Select Antibodies and ELISA Kits
Sign In/Register 0

We use cookies, check our Privacy Policies.

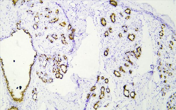
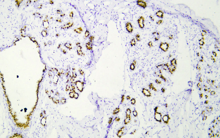
Progesterone Receptor (PR) (AB1581) mouse mAb
Progesterone Receptor (PR) (AB1581) mouse mAb

Assay Biotechnology Inc Antibodies and ELISA Kits have been rigorously validated for laboratory grade quality results. High specificity paired with high affinity for targets of interest give researchers an advantage with our products

Catalog No: V0114
Species Reactivity:Human;
Application:Immunohistochemistry (IHC)
Host:Mouse
Clonality:Monoclonal
Storage and Stability:Store at-20℃. Avoid freeze / thaw cycles.

$75
Product Details
Product Name
Progesterone Receptor (PR) (AB1581) mouse mAb
Description
There are two isoforms of progesterone receptor, PRA (94kDa) PRB (114kDa) , which exist in normal endometrium and breast epithelial cells. Their function is to regulate the expression of genes as transcription factors and affect cytotoxic proliferation and differentiation. A large number of studies show that breast cancer patients with positive ER and PR have good endocrine therapy effect, high remission rate, low recurrence rate and good prognosis. Therefore, PR has been used as a routine examination item for breast cancer patients.
Catalog No
V0114
Species Reactivity
Human;
Clonality
Monoclonal
Host
Mouse
Modifcation
Unmodified
Clone
AB1581
Isotype
IgG1, kappa
Application
Immunohistochemistry (IHC)
Application Dilutions
IHC, 1:50-1:200
Immunogen
A synthetic peptide corresponding to the amino acid region 200 - 400 of the human Progesterone Receptor protein.
Specificity
The antibody can specifically recognize human Progesterone Receptor protein.
Formulation
The antibody is provided in liquid form in phosphate - buffered saline with 50% glycerol, 0.05% BSA, and 0.05% Proclin 300.
Purification
The antibody was purified by affinity chromatography using a specific immunogen.
Storage and Stability
Store at-20℃. Avoid freeze / thaw cycles.
Gene Name
PGR NR3C3
Gene ID
5241
Human swiss
P06401
Protein Name
Progesterone Receptor
Synonyms
Progesterone receptor, PR, Nuclear receptor subfamily 3 group C member 3
Related Products