25% Off Select Antibodies and ELISA Kits
Sign In/Register 0

We use cookies, check our Privacy Policies.

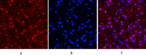
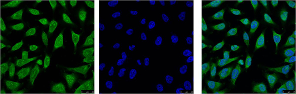
HSP70 Monoclonal Antibody(3G10)
HSP70 Monoclonal Antibody(3G10)

Assay Biotechnology Inc Antibodies and ELISA Kits have been rigorously validated for laboratory grade quality results. High specificity paired with high affinity for targets of interest give researchers an advantage with our products

Catalog No: N1306
Reactivity:Human,Mouse,Rat
Applications:WB,IHC-p,IF/ICC
Modification:Unmodfied/ Total
Source:Monoclonal Mouse
Storage and Stability:-20°C/1 year

$160
Product Details
Product Name
HSP70 Monoclonal Antibody(3G10)
Description
This intronless gene encodes a 70kDa heat shock protein which is a member of the heat shock protein 70 family. In conjuction with other heat shock proteins, this protein stabilizes existing proteins against aggregation and mediates the folding of newly translated proteins in the cytosol and in organelles. It is also involved in the ubiquitin-proteasome pathway through interaction with the AU-rich element RNA-binding protein 1. The gene is located in the major histocompatibility complex class III region, in a cluster with two closely related genes which encode similar proteins. [provided by RefSeq, Jul 2008],
Catalog No
N1306
Reactivity
Human,Mouse,Rat
Applications
WB,IHC-p,IF/ICC
Modification
Unmodfied/ Total
Source
Monoclonal Mouse
Dilution
WB: 1:1000-2000 IF: 1:100-200 IHC 1:50-300
Purification
The antibody was affinity-purified from mouse ascites by affinity-chromatography using specific immunogen.
Concentration
Storage and Stability
-20°C/1 year
Other Name
Molecular Weight (Da)
70375/70052
Gene Name
HSPA1L/HSPA1A
Protein Name
Heat shock 70 kDa protein 1-like/Heat shock 70 kDa protein 1A/1B
Human Gene ID
3305/3303/3304
Human Swiss Prot No.
P34931/P08107
Immunogen
Synthetic Peptide of HSP70
Specificity
The antibody detects endogenous HSP70 proteins.
Formulation
PBS, pH 7.4, containing 0.5%BSA, 0.02% sodium azide as Preservative and 50% Glycerol.
Related Products
Publications (2)