25% Off Select Antibodies and ELISA Kits
Sign In/Register 0

We use cookies, check our Privacy Policies.

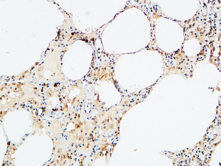
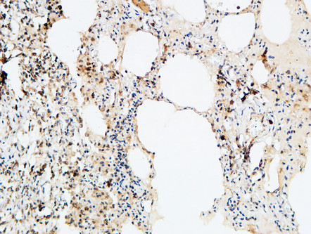
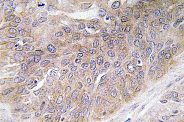
VEGF-D Antibody
VEGF-D Antibody

Assay Biotechnology Inc Antibodies and ELISA Kits have been rigorously validated for laboratory grade quality results. High specificity paired with high affinity for targets of interest give researchers an advantage with our products

Catalog No: R12-2408
Reactivity:Human,Mouse,Rat,Monkey
Applications:WB,IHC,IF,ELISA
Modification:Unmodified/Total
Source:Polyclonal,Rabbit,IgG
Storage and Stability:Store at -20°C/1 year

$205
Product Details
Product Name
VEGF-D Antibody
Description
The protein encoded byThis gene is a member of the platelet-derived growth factor/vascular endothelial growth factor (PDGF/VEGF) family and is active in angiogenesis, lymphangiogenesis, and endothelial cell growth. This secreted protein undergoes a complex proteolytic maturation, generating multiple processed forms which bind and activate VEGFR-2 and VEGFR-3 receptors. This protein is structurally and functionally similar to vascular endothelial growth factor C. Read-through transcription has been observed between this locus and the upstream PIR (GeneID 8544) locus. [provided by RefSeq, Feb 2011],
Catalog No
R12-2408
Reactivity
Human, Mouse, Rat, Monkey
Source
Polyclonal, Rabbit,IgG
Modification
Unmodified/Total
Applications
WB, IHC, IF, ELISA
Dilution
WB 1:500 - 1:2000. IHC 1:100 - 1:300. ELISA: 1:40000.. IF 1:50-200
Purification
The antibody was affinity-purified from rabbit antiserum by affinity-chromatography using epitope-specific immunogen.
Concentration
1 mg/ml
Storage and Stability
Store at -20°C/1 year
Other Name
FIGF; VEGFD; Vascular endothelial growth factor D; VEGF-D; c-Fos-induced growth factor; FIGF
Molecular Weight (Da or kDa)
Gene Name
FIGF
Protein Name
Vascular endothelial growth factor D
Human Gene ID
2277
Human Swiss Prot No.
O43915
Immunogen
The antiserum was produced against synthesized peptide derived from human VEGF-D. AA range:153-202
Specificity
VEGF-D Polyclonal Antibody detects endogenous levels of VEGF-D protein.
Formulation
Liquid in PBS containing 50% glycerol, 0.5% BSA and 0.02% sodium azide.
Related Products