25% Off Select Antibodies and ELISA Kits
Sign In/Register 0

We use cookies, check our Privacy Policies.

PEA-15 Antibody
PEA-15 Antibody

Assay Biotechnology Inc Antibodies and ELISA Kits have been rigorously validated for laboratory grade quality results. High specificity paired with high affinity for targets of interest give researchers an advantage with our products

Catalog No: B0545
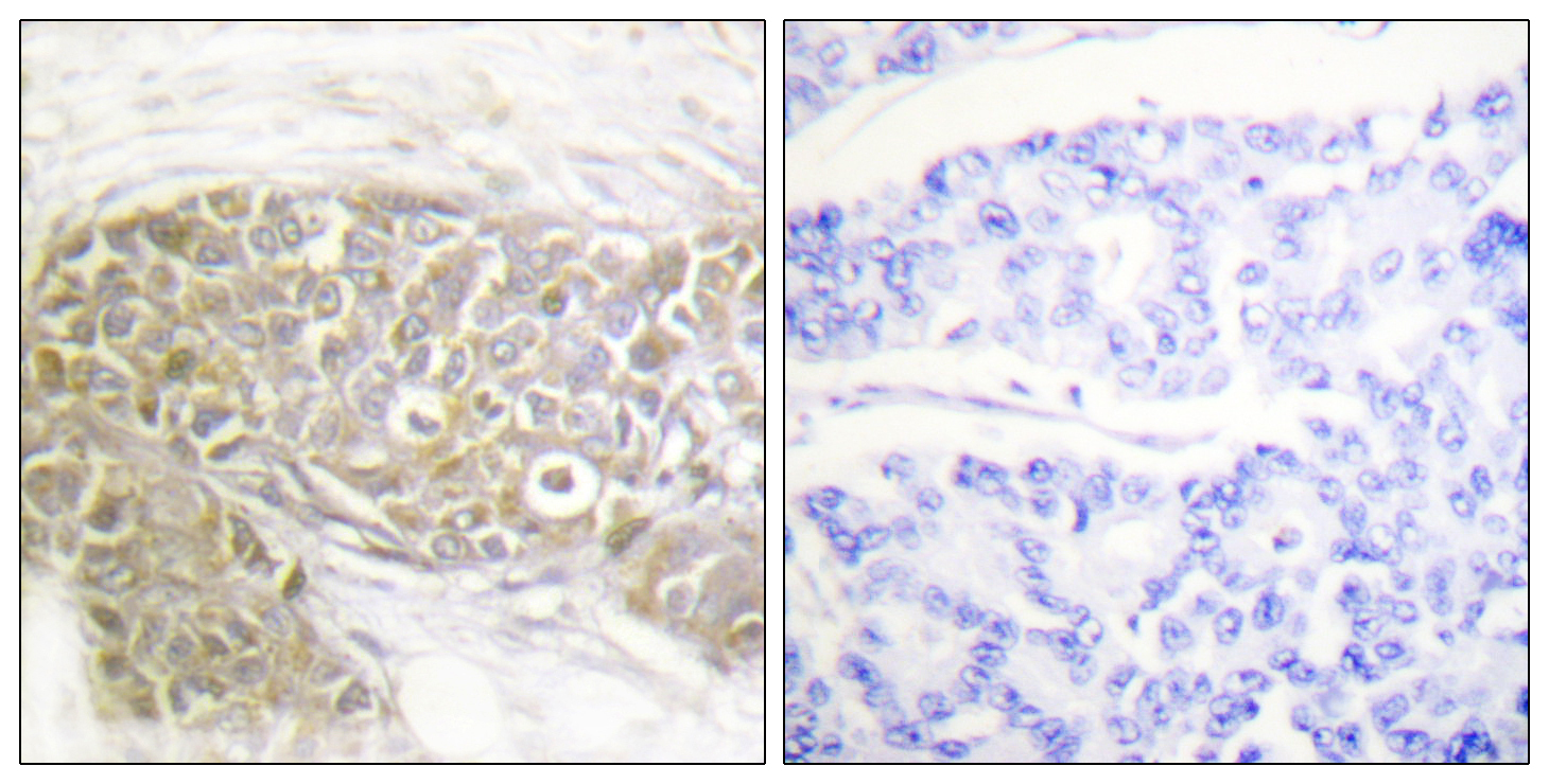
Reactivity:Human,Mouse,Rat,Monkey
Applications:WB,IHC,IF,ELISA
Modification:Unmodified/Total
Source:Polyclonal,Rabbit,IgG
Storage and Stability:Store at -20°C/1 year

$205
Product Details
Product Name
PEA-15 Antibody
Description
phosphoprotein enriched in astrocytes 15(PEA15) Homo sapiens This gene encodes a death effector domain-containing protein that functions as a negative regulator of apoptosis. The encoded protein is an endogenous substrate for protein kinase C. This protein is also overexpressed in type 2 diabetes mellitus, where it may contribute to insulin resistance in glucose uptake. Alternative splicing results in multiple transcript variants. [provided by RefSeq, Jul 2014],
Catalog No
B0545
Reactivity
Human, Mouse, Rat, Monkey
Source
Polyclonal, Rabbit,IgG
Modification
Unmodified/Total
Applications
WB, IHC, IF, ELISA
Dilution
WB 1:500 - 1:2000. IHC 1:100 - 1:300. IF 1:200 - 1:1000. ELISA: 1:40000. Not yet tested in other applications.
Purification
The antibody was affinity-purified from rabbit antiserum by affinity-chromatography using epitope-specific immunogen.
Concentration
1 mg/ml
Storage and Stability
Store at -20°C/1 year
Other Name
PEA15; Astrocytic phosphoprotein PEA-15; 15 kDa phosphoprotein enriched in astrocytes; Phosphoprotein enriched in diabetes; PED
Molecular Weight (Da or kDa)
Gene Name
PEA15
Protein Name
Astrocytic phosphoprotein PEA-15
Human Gene ID
8682
Human Swiss Prot No.
Q15121
Immunogen
The antiserum was produced against synthesized peptide derived from human PEA-15. AA range:81-130
Specificity
PEA-15 Polyclonal Antibody detects endogenous levels of PEA-15 protein.
Formulation
Liquid in PBS containing 50% glycerol, 0.5% BSA and 0.02% sodium azide.
Related Products