25% Off Select Antibodies and ELISA Kits
Sign In/Register 0

We use cookies, check our Privacy Policies.

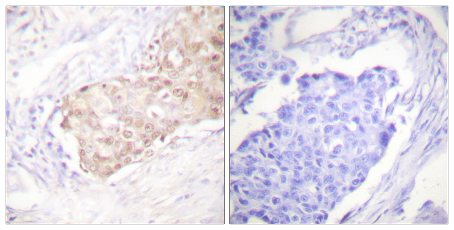
UBR5 Antibody

Assay Biotechnology Inc Antibodies and ELISA Kits have been rigorously validated for laboratory grade quality results. High specificity paired with high affinity for targets of interest give researchers an advantage with our products

Catalog No: C0354
Reactivity:Human,Mouse
Applications:WB,IHC,IF,ELISA
Modification:Unmodified/Total
Source:Polyclonal,Rabbit,IgG
Storage and Stability:Store at -20°C/1 year

$205
Product Details
Product Name
UBR5 Antibody
Description
This gene encodes a progestin-induced protein, which belongs to the HECT (homology to E6-AP carboxyl terminus) family. The HECT family proteins function as E3 ubiquitin-protein ligases, targeting specific proteins for ubiquitin-mediated proteolysis. This gene is localized to chromosome 8q22 which is disrupted in a variety of cancers. This gene potentially has a role in regulation of cell proliferation or differentiation. [provided by RefSeq, Jul 2008],
Catalog No
C0354
Reactivity
Human, Mouse
Source
Polyclonal, Rabbit,IgG
Modification
Unmodified/Total
Applications
WB, IHC, IF, ELISA
Dilution
WB 1:500 - 1:2000. IHC 1:100 - 1:300. ELISA: 1:5000.. IF 1:50-200
Purification
The antibody was affinity-purified from rabbit antiserum by affinity-chromatography using epitope-specific immunogen.
Concentration
1 mg/ml
Storage and Stability
Store at -20°C/1 year
Other Name
UBR5; EDD; EDD1; HYD; KIAA0896; E3 ubiquitin-protein ligase UBR5; E3 ubiquitin-protein ligase; HECT domain-containing 1; Hyperplastic discs protein homolog; hHYD; Progestin-induced protein
Molecular Weight (Da or kDa)
Gene Name
UBR5
Protein Name
E3 ubiquitin-protein ligase UBR5
Human Gene ID
51366
Human Swiss Prot No.
O95071
Immunogen
The antiserum was produced against synthesized peptide derived from human EDD. AA range:1-50
Specificity
UBR5 Polyclonal Antibody detects endogenous levels of UBR5 protein.
Formulation
Liquid in PBS containing 50% glycerol, 0.5% BSA and 0.02% sodium azide.
Related Products