25% Off Select Antibodies and ELISA Kits
Sign In/Register 0

We use cookies, check our Privacy Policies.

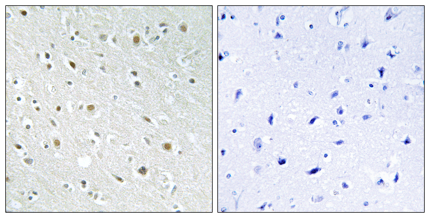
SSBP2 Antibody
SSBP2 Antibody

Assay Biotechnology Inc Antibodies and ELISA Kits have been rigorously validated for laboratory grade quality results. High specificity paired with high affinity for targets of interest give researchers an advantage with our products

Catalog No: C10803
Reactivity:Human,Mouse
Applications:WB,IHC,IF,ELISA
Modification:Unmodified/Total
Source:Polyclonal,Rabbit,IgG
Storage and Stability:Store at -20°C/1 year

$205
Product Details
Product Name
SSBP2 Antibody
Description
This gene encodes a subunit of a protein complex that interacts with single-stranded DNA and is involved in the DNA damage response and maintenance of genome stability. The encoded protein may also play a role in telomere repair. A variant of this gene may be associated with survival in human glioblastoma patients. [provided by RefSeq, Sep 2016],
Catalog No
C10803
Reactivity
Human, Mouse
Source
Polyclonal, Rabbit,IgG
Modification
Unmodified/Total
Applications
WB, IHC, IF, ELISA
Dilution
WB 1:500 - 1:2000. IHC 1:100 - 1:300. ELISA: 1:10000.. IF 1:50-200
Purification
The antibody was affinity-purified from rabbit antiserum by affinity-chromatography using epitope-specific immunogen.
Concentration
1 mg/ml
Storage and Stability
Store at -20°C/1 year
Other Name
SSBP2; SSDP2; Single-stranded DNA-binding protein 2; Sequence-specific single-stranded-DNA-binding protein 2
Molecular Weight (Da or kDa)
Gene Name
SSBP2
Protein Name
Single-stranded DNA-binding protein 2
Human Gene ID
23635
Human Swiss Prot No.
P81877
Immunogen
The antiserum was produced against synthesized peptide derived from human SSBP2. AA range:10-59
Specificity
SSBP2 Polyclonal Antibody detects endogenous levels of SSBP2 protein.
Formulation
Liquid in PBS containing 50% glycerol, 0.5% BSA and 0.02% sodium azide.
Related Products