25% Off Select Antibodies and ELISA Kits
Sign In/Register 0

We use cookies, check our Privacy Policies.

TSSC3 Antibody
TSSC3 Antibody

Assay Biotechnology Inc Antibodies and ELISA Kits have been rigorously validated for laboratory grade quality results. High specificity paired with high affinity for targets of interest give researchers an advantage with our products

Catalog No: C11168
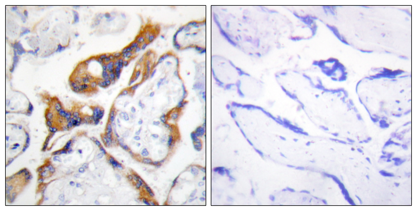
Reactivity:Human,Rat,Mouse
Applications:IHC,IF,ELISA
Modification:Unmodified/Total
Source:Polyclonal,Rabbit,IgG
Storage and Stability:Store at -20°C/1 year

$205
Product Details
Product Name
TSSC3 Antibody
Description
This gene is located in a cluster of imprinted genes on chromosome 11p15.5, which is considered to be an important tumor suppressor gene region. Alterations in this region may be associated with the Beckwith-Wiedemann syndrome, Wilms tumor, rhabdomyosarcoma, adrenocortical carcinoma, and lung, ovarian, and breast cancer. This gene has been shown to be imprinted, with preferential expression from the maternal allele in placenta and liver. [provided by RefSeq, Oct 2010],
Catalog No
C11168
Reactivity
Human, Rat, Mouse
Source
Polyclonal, Rabbit,IgG
Modification
Unmodified/Total
Applications
IHC, IF, ELISA
Dilution
IHC 1:100 - 1:300. ELISA: 1:20000.. IF 1:50-200
Purification
The antibody was affinity-purified from rabbit antiserum by affinity-chromatography using epitope-specific immunogen.
Concentration
1 mg/ml
Storage and Stability
Store at -20°C/1 year
Other Name
PHLDA2; BWR1C; HLDA2; IPL; TSSC3; Pleckstrin homology-like domain family A member 2; Beckwith-Wiedemann syndrome chromosomal region 1 candidate gene C protein; Imprinted in placenta and liver protein; Tumor-suppressing STF cDNA 3 protein; T
Molecular Weight (Da or kDa)
17kD
Gene Name
PHLDA2
Protein Name
Pleckstrin homology-like domain family A member 2
Human Gene ID
7262
Human Swiss Prot No.
Q53GA4
Immunogen
The antiserum was produced against synthesized peptide derived from human PHLDA2. AA range:81-130
Specificity
TSSC3 Polyclonal Antibody detects endogenous levels of TSSC3 protein.
Formulation
Liquid in PBS containing 50% glycerol, 0.5% BSA and 0.02% sodium azide.
Related Products