25% Off Select Antibodies and ELISA Kits
Sign In/Register 0

We use cookies, check our Privacy Policies.

853 results

Filter

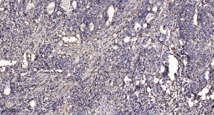
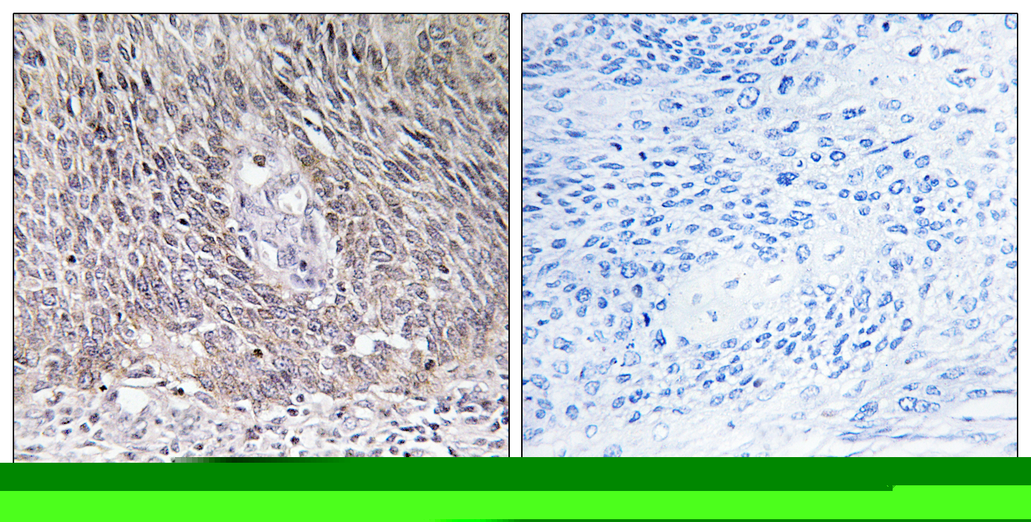
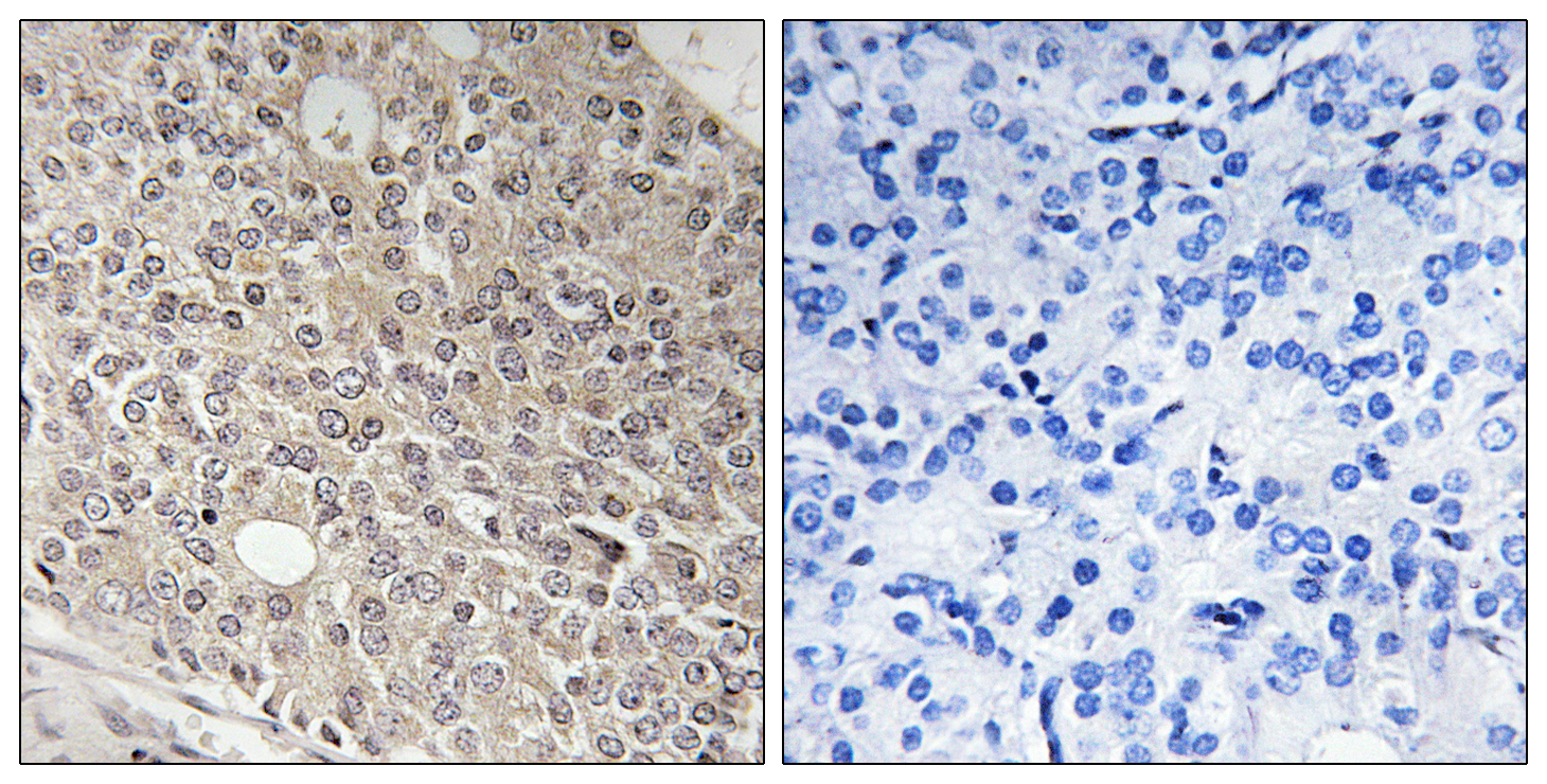
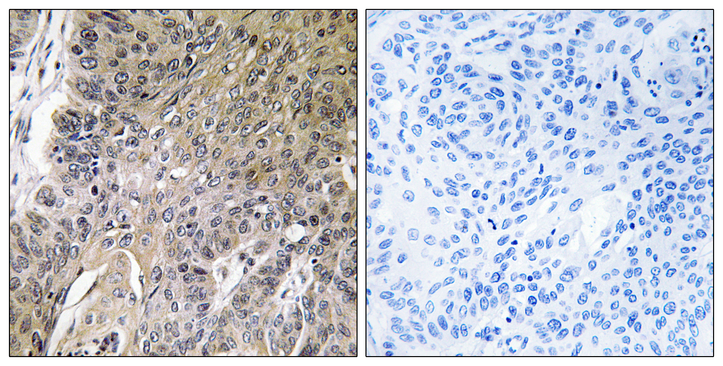
Signaling Intermediates