25% Off Select Antibodies and ELISA Kits
Sign In/Register 0

We use cookies, check our Privacy Policies.

Histone H3 Antibody
Histone H3 Antibody

Assay Biotechnology Inc Antibodies and ELISA Kits have been rigorously validated for laboratory grade quality results. High specificity paired with high affinity for targets of interest give researchers an advantage with our products

Catalog No: D0026
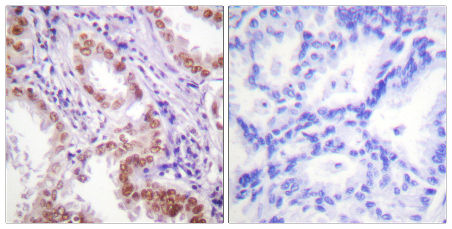
Reactivity:Human,Mouse,Rat
Applications:WB,IHC-p,IF(paraffin section),ELISA
Modification:Unmodified/Total
Source:Polyclonal,Rabbit
Storage and Stability:Store at -20°C/1 year

$205
Product Details
Product Name
Histone H3 Antibody
Description
T-cell leukemia/lymphoma 1A(TCL1A) Homo sapiens Overexpression of the TCL1 gene in humans has been implicated in the development of mature T cell leukemia, in which chromosomal rearrangements bring the TCL1 gene in close proximity to the T-cell antigen receptor (TCR)-alpha (MIM 186880) or TCR-beta (MIM 186930) regulatory elements (summarized by Virgilio et al., 1998 [PubMed 9520462]). In normal T cells TCL1 is expressed in CD4-/CD8- cells, but not in cells at later stages of differentiation. TCL1 functions as a coactivator of the cell survival kinase AKT (MIM 164730) (Laine et al., 2000 [PubMed 10983986]).[supplied by OMIM, Jul 2010],
Catalog No
D0026
Reactivity
Human,Mouse,Rat
Source
Polyclonal, Rabbit
Modification
Unmodified/Total
Applications
WB,IHC-p,IF(paraffin section),ELISA
Dilution
Western Blot: 1/500 - 1/2000. Immunohistochemistry: 1/100 - 1/300. ELISA: 1/5000. Not yet tested in other applications.
Purification
The antibody was affinity-purified from rabbit antiserum by affinity-chromatography using epitope-specific immunogen.
Concentration
Storage and Stability
Store at -20°C/1 year
Other Name
HIST1H3A; H3FA; HIST1H3B; H3FL; HIST1H3C; H3FC; HIST1H3D; H3FB; HIST1H3E; H3FD; HIST1H3F; H3FI; HIST1H3G; H3FH; HIST1H3H; H3FK; HIST1H3I; H3FF; HIST1H3J; H3FJ; Histone H3.1; Histone H3/a; Histone H3/b; Histone H3/c; Histone H3/d; Histone H3
Molecular Weight (Da or kDa)
15273
Gene Name
HIST1H3A/HIST1H3B/HIST1H3C/HIST1H3D/HIST1H3E/HIST1H3F/HIST1H3G/HIST1H3H/HIST1H3I/HIST1H3J/HIST2H3A/HIST2H3C/HIST2H3D/H3F3A/H3F3B
Protein Name
Histone H3.1/Histone H3.2/Histone H3.3
Human Gene ID
Human Swiss Prot No.
P68431/Q71DI3/P84243
Immunogen
The antiserum was produced against synthesized peptide derived from human Histone H3. AA range:1-50
Specificity
Histone H3 Polyclonal Antibody detects endogenous levels of Histone H3 protein.
Formulation
Liquid in PBS containing 50% glycerol, 0.5% BSA and 0.02% sodium azide.
Related Products