25% Off Select Antibodies and ELISA Kits
Sign In/Register 0

We use cookies, check our Privacy Policies.

Histone H3 Antibody
Histone H3 Antibody

Assay Biotechnology Inc Antibodies and ELISA Kits have been rigorously validated for laboratory grade quality results. High specificity paired with high affinity for targets of interest give researchers an advantage with our products

Catalog No: D0030
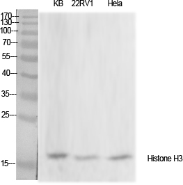
Reactivity:Human,Mouse,Rat,Monkey
Applications:WB,IHC-p,IF/ICC,ELISA
Modification:Unmodified/Total
Source:Polyclonal Rabbit
Storage and Stability:-20°C/1 year

$205
Product Details
Product Name
Histone H3 Antibody
Description
Catalog No
D0030
Reactivity
Human, Mouse, Rat, Monkey
Applications
WB, IHC-p, IF/ICC, ELISA
Modification
Unmodified/Total
Source
Polyclonal Rabbit
Dilution
Western Blot: 1/500 - 1/2000. Immunohistochemistry: 1/100 - 1/300. Immunofluorescence: 1/200 - 1/1000. ELISA: 1/5000. Not yet tested in other applications.
Purification
The antibody was affinity-purified from rabbit antiserum by affinity-chromatography using epitope-specific immunogen.
Concentration
1 mg/ml
Storage and Stability
-20°C/1 year
Other Name
HIST1H3A; H3FA; HIST1H3B; H3FL; HIST1H3C; H3FC; HIST1H3D; H3FB; HIST1H3E; H3FD; HIST1H3F; H3FI; HIST1H3G; H3FH; HIST1H3H; H3FK; HIST1H3I; H3FF; HIST1H3J; H3FJ; Histone H3.1; Histone H3/a; Histone H3/b; Histone H3/c; Histone H3/d; Histone H3
Molecular Weight (Da)
15273
Gene Name
HIST1H3A/HIST1H3B/HIST1H3C/HIST1H3D/HIST1H3E/HIST1H3F/HIST1H3G/HIST1H3H/HIST1H3I/HIST1H3J/HIST2H3A/HIST2H3C/HIST2H3D/H3F3A/H3F3B
Protein Name
Histone H3.1/Histone H3.2/Histone H3.3
Human Gene ID
8350/8351/8352/8353/8354/8355/8356/8357/8358/8968/126961/333932/653604/3020/3021
Human Swiss Prot No.
P68431/Q71DI3/P84243
Immunogen
The antiserum was produced against synthesized peptide derived from human Histone H3. AA range:15-34
Specificity
Histone H3 Polyclonal Antibody detects endogenous levels of Histone H3 protein.
Formulation
Liquid in PBS containing 50% glycerol, 0.5% BSA and 0.02% sodium azide.
Related Products