25% Off Select Antibodies and ELISA Kits
Sign In/Register 0

We use cookies, check our Privacy Policies.

Pepsin A Antibody
Pepsin A Antibody

Assay Biotechnology Inc Antibodies and ELISA Kits have been rigorously validated for laboratory grade quality results. High specificity paired with high affinity for targets of interest give researchers an advantage with our products

Catalog No: R12-2300
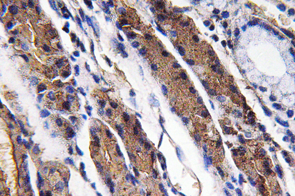
Reactivity:Human,Rat,Mouse
Applications:WB,IHC,IF,ELISA
Modification:Unmodified/Total
Source:Polyclonal,Rabbit,IgG
Storage and Stability:Store at -20°C/1 year

$205
Product Details
Product Name
Pepsin A Antibody
Description
This gene encodes a protein precursor of the digestive enzyme pepsin, a member of the peptidase A1 family of endopeptidases. The encoded precursor is secreted by gastric chief cells and undergoes autocatalytic cleavage in acidic conditions to form the active enzyme, which functions in the digestion of dietary proteins. This gene is found in a cluster of related genes on chromosome 11, each of which encodes one of multiple pepsinogens. Pepsinogen levels in serum may serve as a biomarker for atrophic gastritis and gastric cancer. [provided by RefSeq, Jul 2015],
Catalog No
R12-2300
Reactivity
Human, Rat, Mouse
Source
Polyclonal, Rabbit,IgG
Modification
Unmodified/Total
Applications
WB, IHC, IF, ELISA
Dilution
WB 1:500 - 1:2000. IHC 1:100 - 1:300. ELISA: 1:10000.. IF 1:50-200
Purification
The antibody was affinity-purified from rabbit antiserum by affinity-chromatography using epitope-specific immunogen.
Concentration
1 mg/ml
Storage and Stability
Store at -20°C/1 year
Other Name
Pepsin A; PGA3; PGA4; PGA5
Molecular Weight (Da or kDa)
Gene Name
PGA3/PGA4/PGA5
Protein Name
Pepsin A
Human Gene ID
5222/643847
Human Swiss Prot No.
P0DJD8 / P0DJD7 / P0DJD9
Immunogen
The antiserum was produced against synthesized peptide derived from human Pepsin A. AA range:258-307
Specificity
Pepsin A Polyclonal Antibody detects endogenous levels of Pepsin A protein.
Formulation
Liquid in PBS containing 50% glycerol, 0.5% BSA and 0.02% sodium azide.
Related Products