25% Off Select Antibodies and ELISA Kits
Sign In/Register 0

We use cookies, check our Privacy Policies.

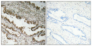
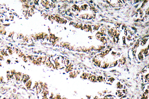
STEAP1 Antibody
STEAP1 Antibody

Assay Biotechnology Inc Antibodies and ELISA Kits have been rigorously validated for laboratory grade quality results. High specificity paired with high affinity for targets of interest give researchers an advantage with our products

Catalog No: R12-2369
Reactivity:Human,Rat,Mouse
Applications:WB,IHC,IF,ELISA
Modification:Unmodified/Total
Source:Polyclonal,Rabbit,IgG
Storage and Stability:Store at -20°C/1 year

$205
Product Details
Product Name
STEAP1 Antibody
Description
This gene is predominantly expressed in prostate tissue, and is found to be upregulated in multiple cancer cell lines. The gene product is predicted to be a six-transmembrane protein, and was shown to be a cell surface antigen significantly expressed at cell-cell junctions. [provided by RefSeq, Jul 2008],
Catalog No
R12-2369
Reactivity
Human, Rat, Mouse
Source
Polyclonal, Rabbit,IgG
Modification
Unmodified/Total
Applications
WB, IHC, IF, ELISA
Dilution
WB 1:500 - 1:2000. IHC 1:100 - 1:300. ELISA: 1:10000.. IF 1:50-200
Purification
The antibody was affinity-purified from rabbit antiserum by affinity-chromatography using epitope-specific immunogen.
Concentration
1 mg/ml
Storage and Stability
Store at -20°C/1 year
Other Name
STEAP1; PRSS24; STEAP; Metalloreductase STEAP1; Six-transmembrane epithelial antigen of prostate 1
Molecular Weight (Da or kDa)
Gene Name
STEAP1
Protein Name
Metalloreductase STEAP1
Human Gene ID
26872
Human Swiss Prot No.
Q9UHE8
Immunogen
The antiserum was produced against synthesized peptide derived from human STEAP1. AA range:31-80
Specificity
STEAP1 Polyclonal Antibody detects endogenous levels of STEAP1 protein.
Formulation
Liquid in PBS containing 50% glycerol, 0.5% BSA and 0.02% sodium azide.
Related Products