25% Off Select Antibodies and ELISA Kits
Sign In/Register 0

We use cookies, check our Privacy Policies.

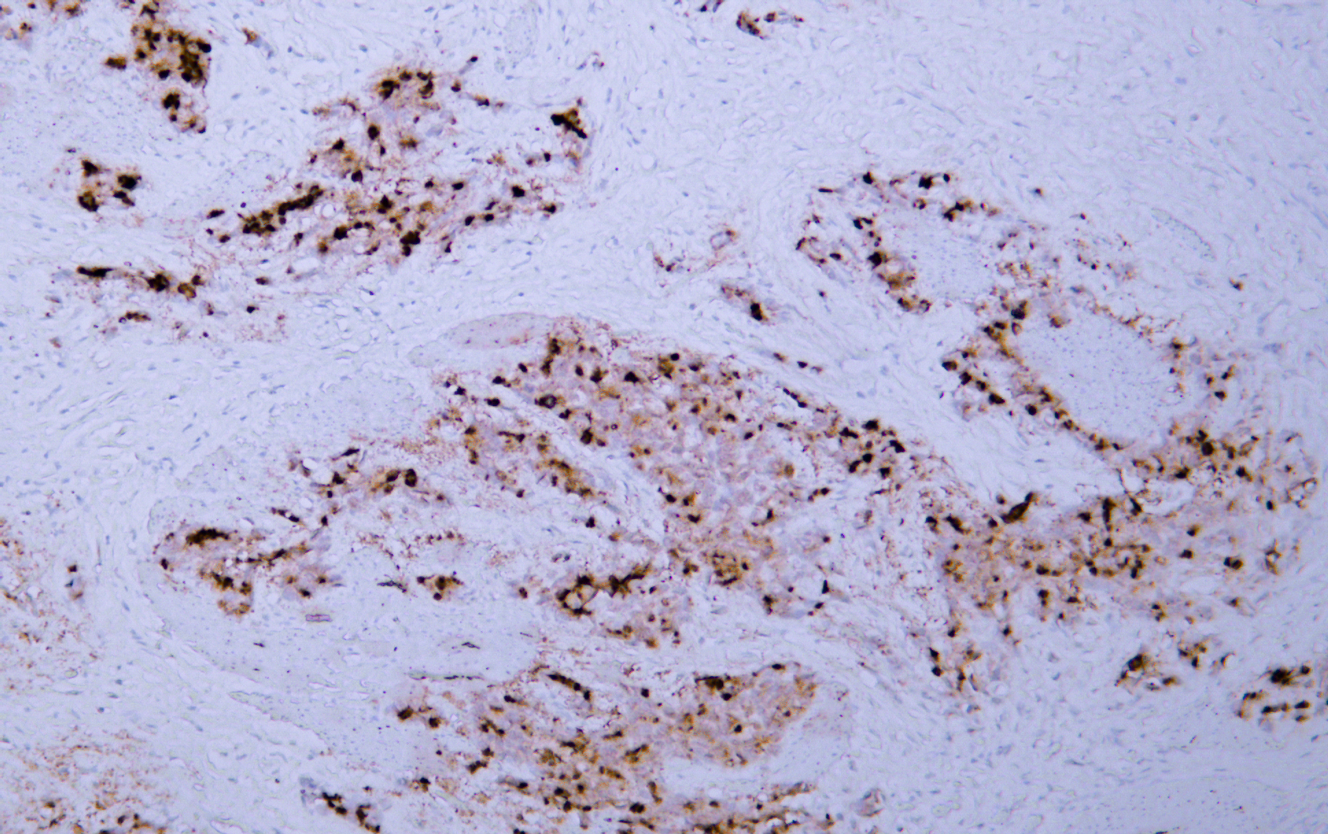
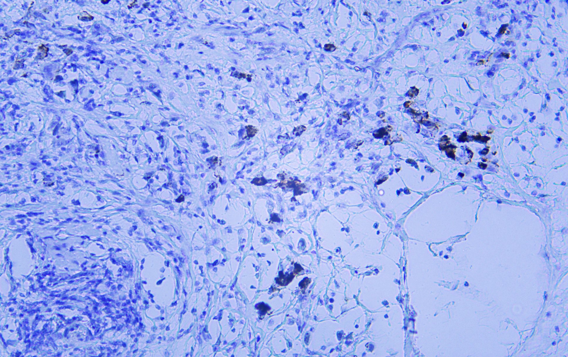
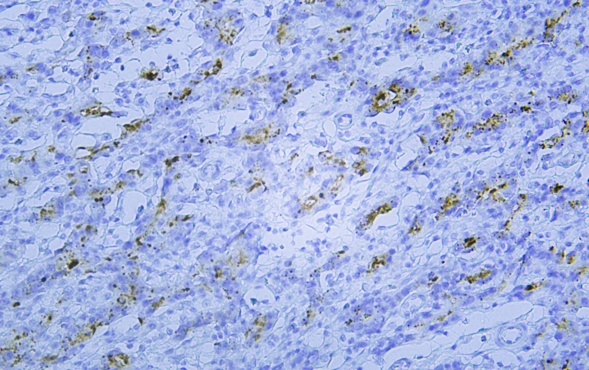
PIK3CA (H1047R) (AB1437) mouse mAb
PIK3CA (H1047R) (AB1437) mouse mAb

Assay Biotechnology Inc Antibodies and ELISA Kits have been rigorously validated for laboratory grade quality results. High specificity paired with high affinity for targets of interest give researchers an advantage with our products

Catalog No: V0439
Species Reactivity:Human;
Application:Immunohistochemistry (IHC)
Host:Mouse
Clonality:Monoclonal
Storage and Stability:Store at-20℃. Avoid freeze / thaw cycles.

$75
Product Details
Product Name
PIK3CA (H1047R) (AB1437) mouse mAb
Description
The PIK3CA gene is located at 3Q26. 3 and encodes a 124kDa protein. The protein is composed of 85kDa regulatory subunit and 110kDa catalytic subunit. The most common mutations of PIK3CA occur in exon 9 and exon 20. H1047R, one of the most common mutations occurs in exon 20. PIK3CA plays an important role in the PI3K/AKT/mTOR signaling pathway, which can be activated by this mutation, closely related to the occurrence of tumors and disease progression. In non-small cell lung cancer, H1047R mutantion can phosphorylate Akt and activate downstream pathways to promote the survival and expansion of tumor cells.
Catalog No
V0439
Species Reactivity
Human;
Clonality
Monoclonal
Host
Mouse
Modifcation
Unmodified
Clone
AB1437
Isotype
IgG2b, kappa
Application
Immunohistochemistry (IHC)
Application Dilutions
IHC, 1:50-1:200
Immunogen
A synthetic peptide corresponding to the amino acid region 1000 - 1068 of the human PIK3CA H1047R protein.
Specificity
The antibody can specifically recognize the h1047r mutation of human PIK3CA protein, and does not react with wild-type PIK3CA protein.
Formulation
The antibody is provided in liquid form in phosphate - buffered saline with 50% glycerol, 0.05% BSA, and 0.05% Proclin 300.
Purification
The antibody was purified by affinity chromatography using a specific immunogen.
Storage and Stability
Store at-20℃. Avoid freeze / thaw cycles.
Gene Name
PIK3CA
Gene ID
5290
Human swiss
P42336
Protein Name
PIK3CA H1047R
Synonyms
5-bisphosphate 3-kinase 110 kDa catalytic subunit alpha, 5-bisphosphate 3-kinase catalytic subunit alpha isoform, caPI3K, CLOVE, CWS5, MCAP, MCM, MCMTC, MGC142161, MGC142163, p110 alpha, p110alpha, Phosphatidylinositol 3 kinase catalytic alpha polypeptide, Phosphatidylinositol 3 kinase catalytic 110 KD alpha, Phosphatidylinositol 4 5 bisphosphate 3 kinase catalytic subunit alpha, Phosphatidylinositol 4 5 bisphosphate 3 kinase catalytic subunit alpha isoform, Phosphatidylinositol 4, 5 bisphosphate 3 kinase 110 kDa catalytic subunit alpha, Phosphatidylinositol-4, Phosphoinositide 3 kinase catalytic alpha polypeptide, PI 3 Kinase catalytic subunit alpha, PI3 kinase p110 subunit alpha, PI3-kinase subunit alpha, PI3K, PI3K-alpha, PI3KC A, PIK3C A, Pik3ca, PK3CA, PK3CA_HUMAN, PtdIns 3 kinase p110, PtdIns-3-kinase subunit alpha, PtdIns-3-kinase subunit p110-alpha, Serine/threonine protein kinase PIK3CA
Related Products