25% Off Select Antibodies and ELISA Kits
Sign In/Register 0

We use cookies, check our Privacy Policies.

p120 catenin (AB1263) mouse mAb
p120 catenin (AB1263) mouse mAb

Assay Biotechnology Inc Antibodies and ELISA Kits have been rigorously validated for laboratory grade quality results. High specificity paired with high affinity for targets of interest give researchers an advantage with our products

Catalog No: V0424
Species Reactivity:Human; Mouse; Rat;
Application:Immunohistochemistry (IHC)
Host:Mouse
Clonality:Monoclonal
Storage and Stability:Store at-20℃. Avoid freeze / thaw cycles.

$75
Product Details
Product Name
p120 catenin (AB1263) mouse mAb
Description
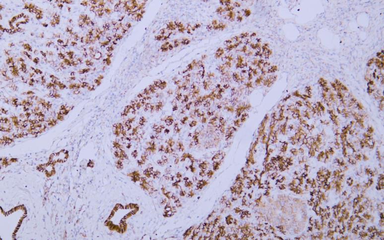
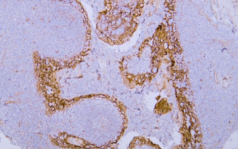
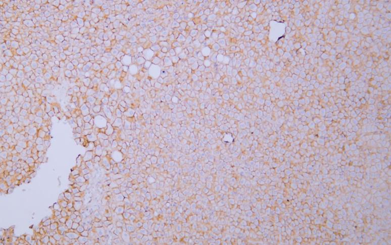
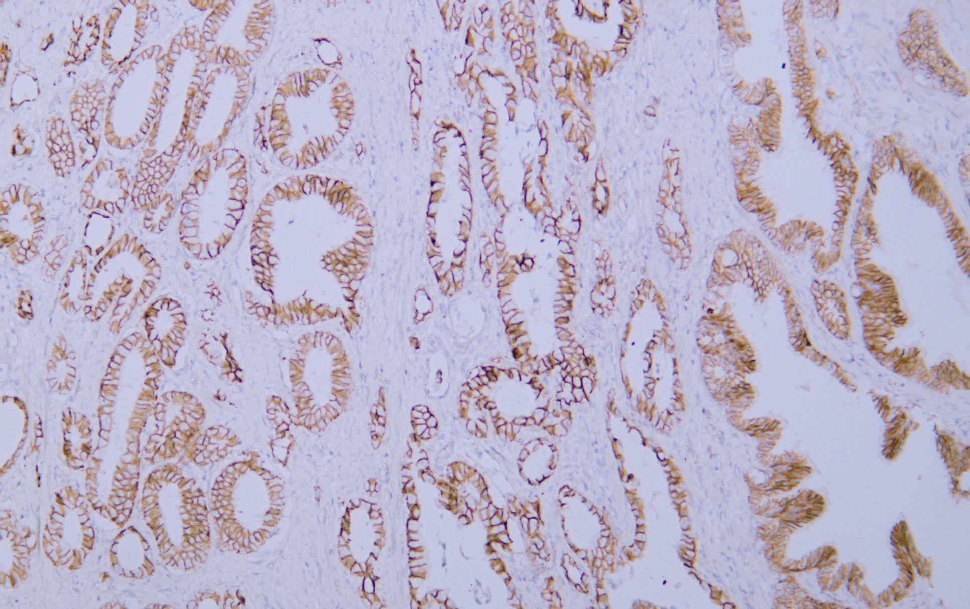
α-Catenin、 β-Catenin、 γ-catenin and p120 catenin are members of the connexin family and mediate intercellular adhesion together with E-cadherin. P120 catenin binds to the near membrane region of E-cadherin to form a complex, which is stable and closely linked. In lobular breast cancer, E-cadherin deficiency resulted in the accumulation of p120 catenin in the cytoplasm, while in ductal breast cancer, p120 catenin in the membrane decreased and there was no accumulation of p120 catenin in the cytoplasm. Therefore, it can be used to distinguish lobular carcinoma from ductal carcinoma. Studies have shown that p120 catenin in the cytoplasm of gastric and colon cancer is related to poor adhesion of cancer cells.
Catalog No
V0424
Species Reactivity
Human; Mouse; Rat;
Clonality
Monoclonal
Host
Mouse
Modifcation
Unmodified
Clone
AB1263
Isotype
IgG2b, kappa
Application
Immunohistochemistry (IHC)
Application Dilutions
IHC, 1:50-1:100
Immunogen
A synthetic peptide corresponding to the amino acid region 600 - 700 of the human p120 catenin protein.
Specificity
The antibody can specifically recognize human p120 catenin protein.
Formulation
The antibody is provided in liquid form in phosphate - buffered saline with 50% glycerol, 0.05% BSA, and 0.05% Proclin 300.
Purification
The antibody was purified by affinity chromatography using a specific immunogen.
Storage and Stability
Store at-20℃. Avoid freeze / thaw cycles.
Gene Name
CTNND1
Gene ID
1500
Human swiss
O60716
Protein Name
p120 catenin
Synonyms
Cadherin associated Src substRate, Cadherin-associated Src substRate, CAS, Catenin (cadherin associated protein) delta 1, Catenin delta 1, Catenin delta, Catenin delta-1, CTND1_HUMAN, CTNND 1, CTNND, CTNND1, delta 1 Catenin, KIAA0384, p120, P120 CAS, p120 catenin, P120 CTN, p120 (cas) , p120 (ctn) , P120CAS, P120CTN
Related Products