25% Off Select Antibodies and ELISA Kits
Sign In/Register 0

We use cookies, check our Privacy Policies.

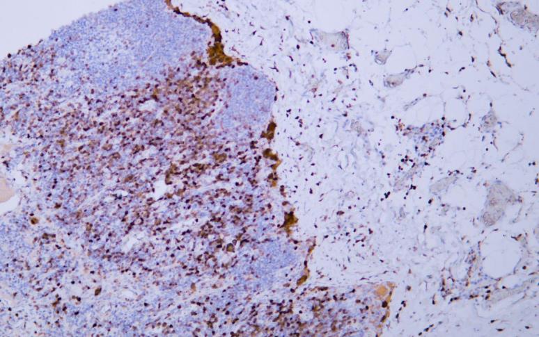
S100A4 (AB1589) mouse mAb
S100A4 (AB1589) mouse mAb

Assay Biotechnology Inc Antibodies and ELISA Kits have been rigorously validated for laboratory grade quality results. High specificity paired with high affinity for targets of interest give researchers an advantage with our products

Catalog No: V0122
Species Reactivity:Human;
Application:Immunohistochemistry (IHC)
Host:Mouse
Clonality:Monoclonal
Storage and Stability:Store at-20℃. Avoid freeze / thaw cycles.

$75
Product Details
Product Name
S100A4 (AB1589) mouse mAb
Description
S100A4 protein is an important member of calcium binding protein S-100 family. It is a pro angiogenic factor. It can enhance the mobility of endothelial cells and reduce the production of angiogenesis inhibitors, so as to promote tumor angiogenesis, tumor invasion and metastasis. S100A4 can also be used as a prognostic factor for colon cancer, breast cancer and renal epithelial carcinoma.
Catalog No
V0122
Species Reactivity
Human;
Clonality
Monoclonal
Host
Mouse
Modifcation
Unmodified
Clone
AB1589
Isotype
IgG1, kappa
Application
Immunohistochemistry (IHC)
Application Dilutions
IHC, 1:200-1:400
Immunogen
A synthetic peptide corresponding to the amino acid region 50 - 101 of the human S100A4 protein.
Specificity
The antibody can specifically recognize human S100A4 protein, and has no cross reaction with S100A1 or S100A6.
Formulation
The antibody is provided in liquid form in phosphate - buffered saline with 50% glycerol, 0.05% BSA, and 0.05% Proclin 300.
Purification
The antibody was purified by affinity chromatography using a specific immunogen.
Storage and Stability
Store at-20℃. Avoid freeze / thaw cycles.
Gene Name
S100A4
Gene ID
6275
Human swiss
P26447
Protein Name
S100A4
Synonyms
18A2, 42A, calcium Placental protein, Calvasculin, CAPL, Fibroblast specific protein 1 (FSP1) , Fibroblast specific protein 1, Fibroblast specific protein, FSP1, Leukemia multidrug resistance associated protein, Malignant transformation suppression 1 (MTS1) , Malignant transformation suppression 1, Metastasin, MTS1, OTTHUMP00000015467, OTTHUMP00000015468, P9KA, PEL98, Placental calcium-binding protein, Protein Mts1, Protein S100 A4, Protein S100-A4, S100 calcium binding protein A4 (calcium protein, calvasculin, metastasin, murine placental homolog) , S100 calcium binding protein A4, S100 calcium-binding protein A4, S100a4, S10A4_HUMAN
Related Products