25% Off Select Antibodies and ELISA Kits
Sign In/Register 0

We use cookies, check our Privacy Policies.

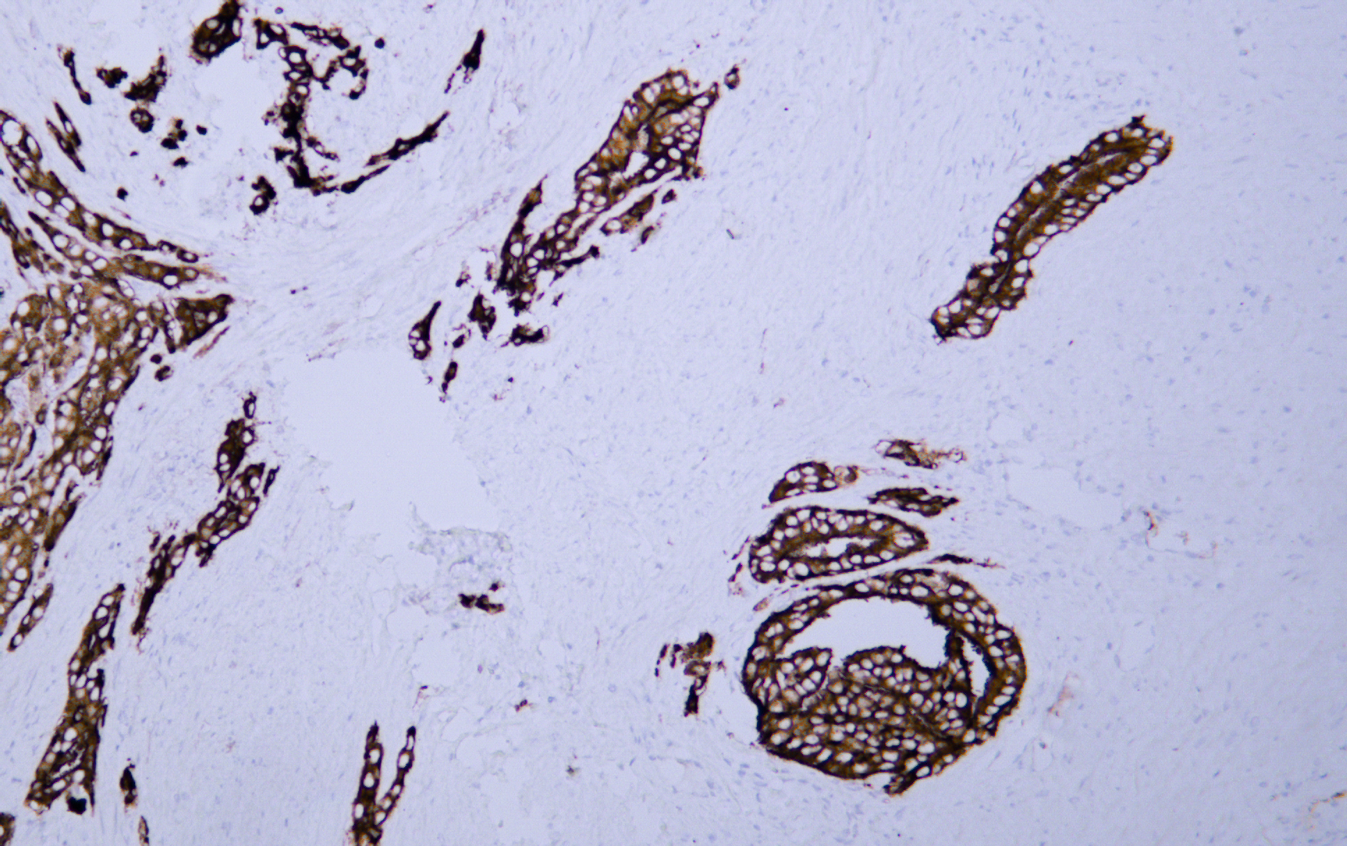
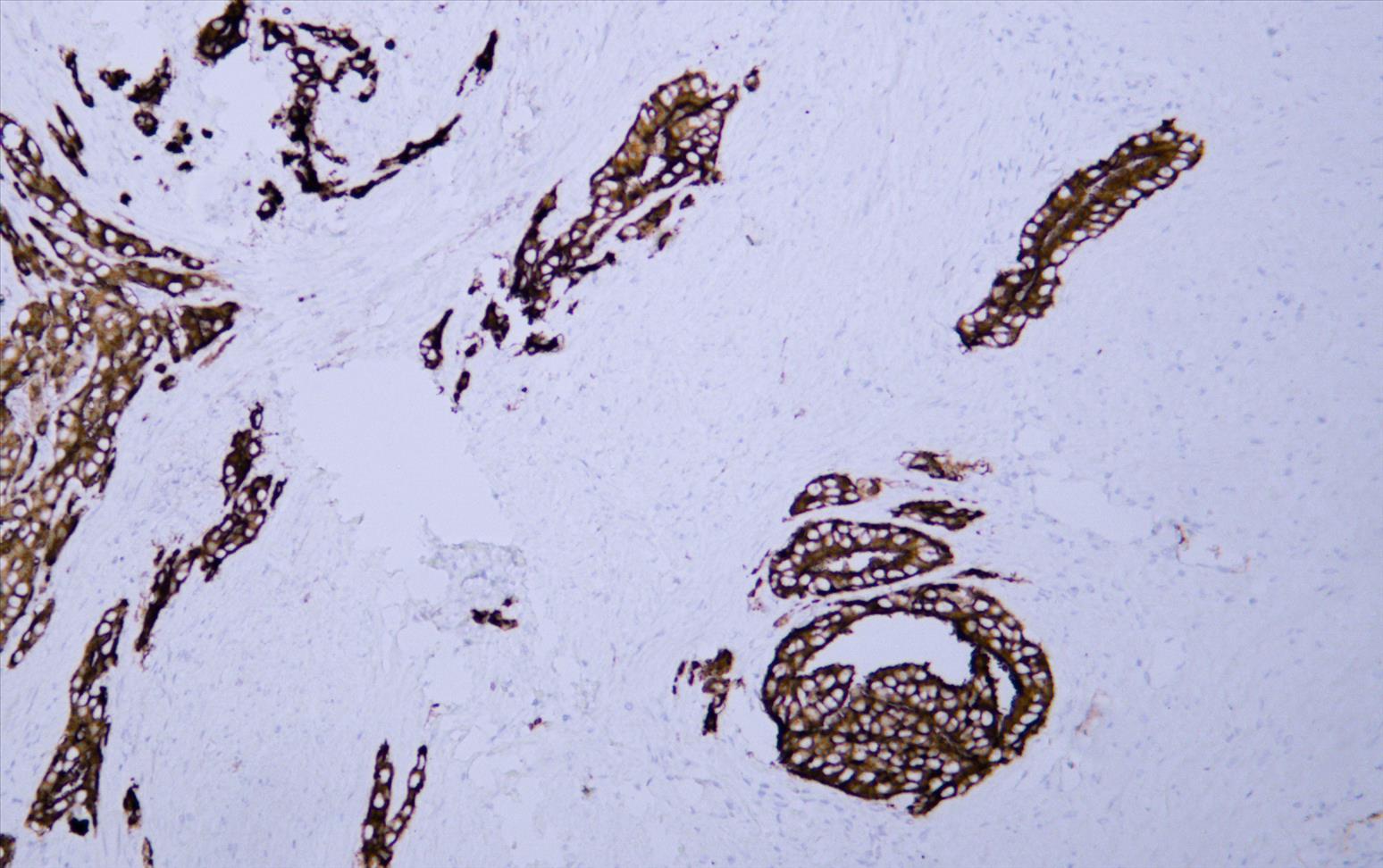
Prostate Specific Membrane Antigen (PSMA) (AB1585) mouse mAb
Prostate Specific Membrane Antigen (PSMA) (AB1585) mouse mAb

Assay Biotechnology Inc Antibodies and ELISA Kits have been rigorously validated for laboratory grade quality results. High specificity paired with high affinity for targets of interest give researchers an advantage with our products

Catalog No: V0119
Species Reactivity:Human; Mouse; Rat;
Application:Immunohistochemistry (IHC)
Host:Mouse
Clonality:Monoclonal
Storage and Stability:Store at-20℃. Avoid freeze / thaw cycles.

$75
Product Details
Product Name
Prostate Specific Membrane Antigen (PSMA) (AB1585) mouse mAb
Description
PSMA is a 110kDa type II transmembrane protein. The gene is located in 11q and is expressed in normal and neoplastic prostate epithelium, as well as in breast, duodenum, colonic mucosa, kidney and tumors of its origin. The expression of PSMA increased after cell carcinogenesis, which was positively correlated with tumor grade and hormone resistance. Combined with PSA can improve the diagnosis of prostate cancer metastasis.
Catalog No
V0119
Species Reactivity
Human; Mouse; Rat;
Clonality
Monoclonal
Host
Mouse
Modifcation
Unmodified
Clone
AB1585
Isotype
IgG1, kappa
Application
Immunohistochemistry (IHC)
Application Dilutions
IHC, 1:200-1:400
Immunogen
A synthetic peptide corresponding to the amino acid region 100 - 200 of the human Prostate Specific Membrane Antigen protein.
Specificity
The antibody can specifically recognize human PSMA protein.
Formulation
The antibody is provided in liquid form in phosphate - buffered saline with 50% glycerol, 0.05% BSA, and 0.05% Proclin 300.
Purification
The antibody was purified by affinity chromatography using a specific immunogen.
Storage and Stability
Store at-20℃. Avoid freeze / thaw cycles.
Gene Name
FOLH1
Gene ID
2346
Human swiss
Q04609
Protein Name
Prostate Specific Membrane Antigen
Synonyms
Cell growth inhibiting protein 27, Cell growth-inhibiting gene 27 protein, FGCP, Folate hydrolase (prostate-specific membrane antigen) 1, Folate hydrolase 1, Folate hydrolase, Folate hydrolase prostate specific membrane antigen 1, FOLH 1, FOLH, Folh1, FOLH1_HUMAN, Folylpoly gamma glutamate carboxypeptidase, Folylpoly-gamma-glutamate carboxypeptidase, GCP 2, GCP II, GCP2, GCPII, GIG27, Glutamate carboxylase II, Glutamate carboxypeptidase 2, Glutamate carboxypeptidase II, Membrane glutamate carboxypeptidase, mGCP, N acetylated alpha linked acidic dipeptidase 1, N-acetylated-alpha-linked acidic dipeptidase I, NAALAD 1, NAALAD1, NAALAdase, NAALADase I, Prostate specific membrane antigen, Prostate specific membrane antigen variant F, Prostate-specific membrane antigen, PSM, PSMA, Pteroylpoly gamma glutamate carboxypeptidase, Pteroylpoly-gamma-glutamate carboxypeptidase
Related Products