25% Off Select Antibodies and ELISA Kits
Sign In/Register 0

We use cookies, check our Privacy Policies.

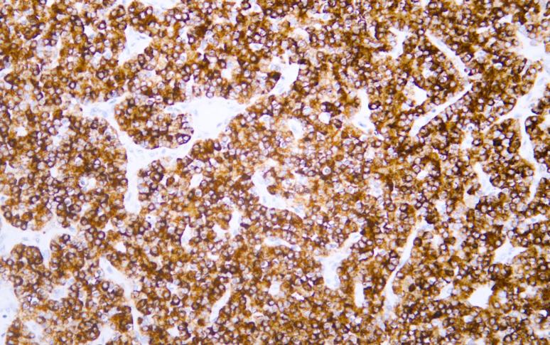
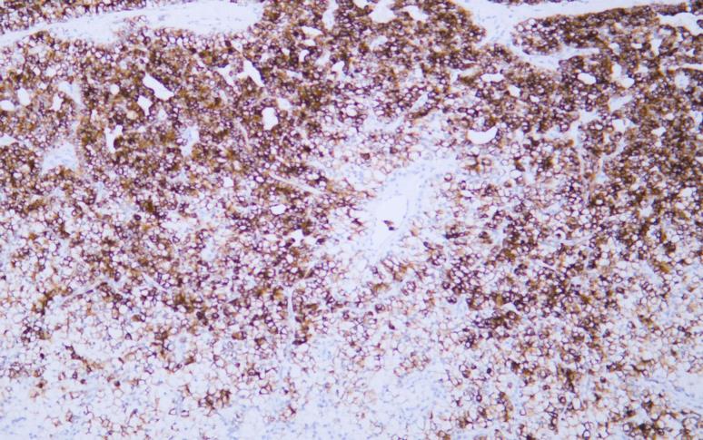
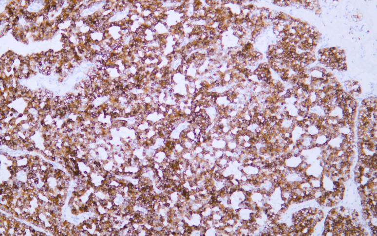
Parathyroid Hormone (AB1586) mouse mAb
Parathyroid Hormone (AB1586) mouse mAb

Assay Biotechnology Inc Antibodies and ELISA Kits have been rigorously validated for laboratory grade quality results. High specificity paired with high affinity for targets of interest give researchers an advantage with our products

Catalog No: V0108
Species Reactivity:Human;
Application:Immunohistochemistry (IHC)
Host:Mouse
Clonality:Monoclonal
Storage and Stability:Store at-20℃. Avoid freeze / thaw cycles.

$75
Product Details
Product Name
Parathyroid Hormone (AB1586) mouse mAb
Description
Parathyroid hormone (PTH) is a basic single chain polypeptide hormone secreted by parathyroid main cells. Its main function is to regulate the metabolism of calcium in the body, promote the increase of blood calcium level and the decrease of blood phosphorus level. It can also act on intestines and renal tubules, increase calcium absorption and maintain the stability of blood calcium. It is usually used in the diagnosis and research of parathyroid tumors.
Catalog No
V0108
Species Reactivity
Human;
Clonality
Monoclonal
Host
Mouse
Modifcation
Unmodified
Clone
AB1586
Isotype
IgG1, kappa
Application
Immunohistochemistry (IHC)
Application Dilutions
IHC, 1:200-1:400
Immunogen
A synthetic peptide corresponding to the amino acid region 50 - 115 of the human Parathyroid Hormone protein.
Specificity
The antibody can specifically recognize human Parathyroid Hormone protein.
Formulation
The antibody is provided in liquid form in phosphate - buffered saline with 50% glycerol, 0.05% BSA, and 0.05% Proclin 300.
Purification
The antibody was purified by affinity chromatography using a specific immunogen.
Storage and Stability
Store at-20℃. Avoid freeze / thaw cycles.
Gene Name
PTH
Gene ID
5741
Human swiss
P01270
Protein Name
Parathyroid Hormone
Synonyms
hPTH, PaRathormone, PaRathyrin, PaRathyroid hormone 1, PaRathyroid hormone, Prepro PTH, PrepropaRathyroid hormone, PTH, PTH1, PTH1 receptor, PTH1R, PTHR, PTHR1, PTHY_HUMAN
Related Products