25% Off Select Antibodies and ELISA Kits
Sign In/Register 0

We use cookies, check our Privacy Policies.

Cytokeratin (Pan) mouse mAb -Discontinued see alternative: W0429
Cytokeratin (Pan) mouse mAb -Discontinued see alternative: W0429

Assay Biotechnology Inc Antibodies and ELISA Kits have been rigorously validated for laboratory grade quality results. High specificity paired with high affinity for targets of interest give researchers an advantage with our products

Catalog No: N0190
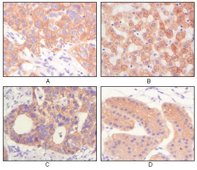
Reactivity:Human
Applications:WB,IHC-p,IF/ICCELISA
Modification:Unmodfied/ Total
Source:Monoclonal Mouse
Storage and Stability:-20°C/1 year

$210
Product Details
Product Name
Cytokeratin (Pan) mouse mAb -Discontinued see alternative: W0429
Description
keratin 5(KRT5) Homo sapiens The protein encoded byThis gene is a member of the keratin gene family. The type II cytokeratins consist of basic or neutral proteins which are arranged in pairs of heterotypic keratin chains coexpressed during differentiation of simple and stratified epithelial tissues. This type II cytokeratin is specifically expressed in the basal layer of the epidermis with family member KRT14. Mutations in these genes have been associated with a complex of diseases termed epidermolysis bullosa simplex. The type II cytokeratins are clustered in a region of chromosome 12q12-q13. [provided by RefSeq, Jul 2008],
Catalog No
N0190
Reactivity
Human
Applications
WB,IHC-p,IF/ICC,ELISA
Modification
Unmodfied/ Total
Source
Monoclonal Mouse
Dilution
Western Blot: 1/500 - 1/2000. Immunohistochemistry: 1/200 - 1/1000. Immunofluorescence: 1/200 - 1/1000. ELISA: 1/10000. Not yet tested in other applications.
Purification
Affinity purification
Concentration
Storage and Stability
-20°C/1 year
Other Name
KRT5; Keratin; type II cytoskeletal 5; 58 kDa cytokeratin; Cytokeratin-5; CK-5; Keratin-5; K5; Type-II keratin Kb5
Molecular Weight (Da)
Gene Name
KRT5
Protein Name
Keratin type II cytoskeletal 5
Human Gene ID
3852
Human Swiss Prot No.
P13647
Immunogen
Purified recombinant fragment of Cytokeratin 5 expressed in E. Coli.
Specificity
Cytokeratin (Pan) Monoclonal Antibody detects endogenous levels of Cytokeratin (Pan) protein.
Formulation
Ascitic fluid containing 0.03% sodium azide,0.5% BSA, 50%glycerol.
Related Products