25% Off Select Antibodies and ELISA Kits
Sign In/Register 0

We use cookies, check our Privacy Policies.

E-cadherin mouse mAb -Discontinued see alternative: W0340
E-cadherin mouse mAb -Discontinued see alternative: W0340

Assay Biotechnology Inc Antibodies and ELISA Kits have been rigorously validated for laboratory grade quality results. High specificity paired with high affinity for targets of interest give researchers an advantage with our products

Catalog No: N0206
Reactivity:Human,Mouse,Monkey
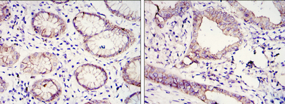
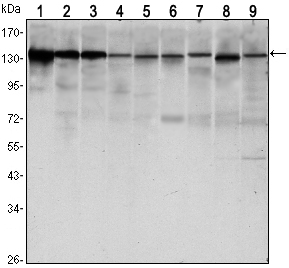
Applications:WB,IHC-p,IF(paraffin section),FCM,ELISA
Modification:Unmodfied/ Total
Source:Monoclonal Mouse
Storage and Stability:-20°C/1 year

$210
Product Details
Product Name
E-cadherin mouse mAb -Discontinued see alternative: W0340
Description
This gene encodes a classical cadherin of the cadherin superfamily. Alternative splicing results in multiple transcript variants, at least one of which encodes a preproprotein that is proteolytically processed to generate the mature glycoprotein. This calcium-dependent cell-cell adhesion protein is comprised of five extracellular cadherin repeats, a transmembrane region and a highly conserved cytoplasmic tail. Mutations in this gene are correlated with gastric, breast, colorectal, thyroid and ovarian cancer. Loss of function of this gene is thought to contribute to cancer progression by increasing proliferation, invasion, and/or metastasis. The ectodomain of this protein mediates bacterial adhesion to mammalian cells and the cytoplasmic domain is required for internalization. This gene is present in a gene cluster with other members of the cadherin family on chromosome 16. [provided by RefSeq, Nov 2015],
Catalog No
N0206
Reactivity
Human,Mouse,Monkey
Applications
WB,IHC-p,IF(paraffin section),FCM,ELISA
Modification
Unmodfied/ Total
Source
Monoclonal Mouse
Dilution
Western Blot: 1/500 - 1/2000. Immunohistochemistry: 1/200 - 1/1000. Flow cytometry: 1/200 - 1/400. ELISA: 1/10000. Not yet tested in other applications.
Purification
Affinity purification
Concentration
Storage and Stability
-20°C/1 year
Other Name
CDH1; CDHE; UVO; Cadherin-1; CAM 120/80; Epithelial cadherin; E-cadherin; Uvomorulin; CD antigen CD324
Molecular Weight (Da)
Gene Name
CDH1
Protein Name
Cadherin-1
Human Gene ID
999
Human Swiss Prot No.
P12830
Immunogen
Purified recombinant fragment of human E-cadherin expressed in E. Coli.
Specificity
E-cadherin Monoclonal Antibody detects endogenous levels of E-cadherin protein.
Formulation
Ascitic fluid containing 0.03% sodium azide,0.5% BSA, 50%glycerol.
Related Products
Publications (1)