25% Off Select Antibodies and ELISA Kits
Sign In/Register 0

We use cookies, check our Privacy Policies.

ERα mouse mAb -Discontinued see alternative: W0224
ERα mouse mAb -Discontinued see alternative: W0224

Assay Biotechnology Inc Antibodies and ELISA Kits have been rigorously validated for laboratory grade quality results. High specificity paired with high affinity for targets of interest give researchers an advantage with our products

Catalog No: N0251
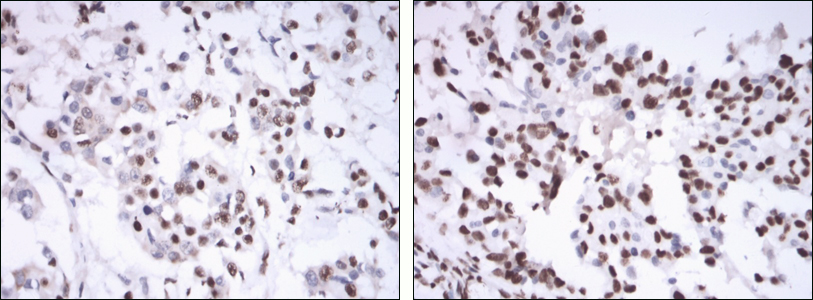
Reactivity:Human
Applications:WB,IHC-p,IF/ICCELISA
Modification:Unmodfied/ Total
Source:Monoclonal Mouse
Storage and Stability:-20°C/1 year

$210
Product Details
Product Name
ERα mouse mAb -Discontinued see alternative: W0224
Description
This gene encodes an estrogen receptor, a ligand-activated transcription factor composed of several domains important for hormone binding, DNA binding, and activation of transcription. The protein localizes to the nucleus where it may form a homodimer or a heterodimer with estrogen receptor 2. Estrogen and its receptors are essential for sexual development and reproductive function, but also play a role in other tissues such as bone. Estrogen receptors are also involved in pathological processes including breast cancer, endometrial cancer, and osteoporosis. Alternative promoter usage and alternative splicing result in dozens of transcript variants, but the full-length nature of many of these variants has not been determined. [provided by RefSeq, Mar 2014],
Catalog No
N0251
Reactivity
Human
Applications
WB,IHC-p,IF/ICC,ELISA
Modification
Unmodfied/ Total
Source
Monoclonal Mouse
Dilution
Western Blot: 1/500 - 1/2000. Immunohistochemistry: 1/200 - 1/1000. Immunofluorescence: 1/200 - 1/1000. ELISA: 1/10000. Not yet tested in other applications.
Purification
Affinity purification
Concentration
Storage and Stability
-20°C/1 year
Other Name
ESR1; ESR; NR3A1; Estrogen receptor; ER; ER-alpha; Estradiol receptor; Nuclear receptor subfamily 3 group A member 1
Molecular Weight (Da)
Gene Name
ESR1
Protein Name
Estrogen receptor
Human Gene ID
2099
Human Swiss Prot No.
P03372
Immunogen
Purified recombinant fragment of human ERα expressed in E. Coli.
Specificity
ERα Monoclonal Antibody detects endogenous levels of ERα protein.
Formulation
Ascitic fluid containing 0.03% sodium azide,0.5% BSA, 50%glycerol.
Related Products