25% Off Select Antibodies and ELISA Kits
Sign In/Register 0

We use cookies, check our Privacy Policies.

Nkx-3.1 mouse mAb -Discontinued see alternative: W0430
Nkx-3.1 mouse mAb -Discontinued see alternative: W0430

Assay Biotechnology Inc Antibodies and ELISA Kits have been rigorously validated for laboratory grade quality results. High specificity paired with high affinity for targets of interest give researchers an advantage with our products

Catalog No: N0476
Reactivity:Human
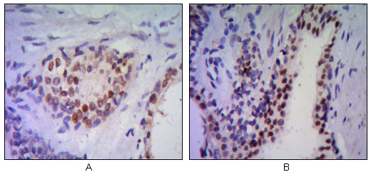
Applications:WB,IHC-p,IF(paraffin section),FCM,ELISA
Modification:Unmodfied/ Total
Source:Monoclonal Mouse
Storage and Stability:-20°C/1 year

$210
Product Details
Product Name
Nkx-3.1 mouse mAb -Discontinued see alternative: W0430
Description
This gene encodes a homeobox-containing transcription factor. This transcription factor functions as a negative regulator of epithelial cell growth in prostate tissue. Aberrant expression of this gene is associated with prostate tumor progression. Alternate splicing results in multiple transcript variants of this gene. [provided by RefSeq, Jan 2012],
Catalog No
N0476
Reactivity
Human
Applications
WB,IHC-p,IF(paraffin section),FCM,ELISA
Modification
Unmodfied/ Total
Source
Monoclonal Mouse
Dilution
Western Blot: 1/500 - 1/2000. Immunohistochemistry: 1/200 - 1/1000. Flow cytometry: 1/200 - 1/400. ELISA: 1/10000. Not yet tested in other applications.
Purification
Affinity purification
Concentration
Storage and Stability
-20°C/1 year
Other Name
NKX3-1; NKX3.1; NKX3A; Homeobox protein Nkx-3.1; Homeobox protein NK-3 homolog A
Molecular Weight (Da)
Gene Name
NKX3-1
Protein Name
Homeobox protein Nkx-3.1
Human Gene ID
4824
Human Swiss Prot No.
Q99801
Immunogen
Purified recombinant fragment of human Nkx-3.1 expressed in E. Coli.
Specificity
Nkx-3.1 Monoclonal Antibody detects endogenous levels of Nkx-3.1 protein.
Formulation
Ascitic fluid containing 0.03% sodium azide,0.5% BSA, 50%glycerol.
Related Products