25% Off Select Antibodies and ELISA Kits
Sign In/Register 0

We use cookies, check our Privacy Policies.

SOX-2 mouse mAb -Discontinued see alternative: W0454
SOX-2 mouse mAb -Discontinued see alternative: W0454

Assay Biotechnology Inc Antibodies and ELISA Kits have been rigorously validated for laboratory grade quality results. High specificity paired with high affinity for targets of interest give researchers an advantage with our products

Catalog No: N0593
Reactivity:Human
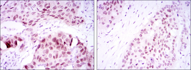
Applications:WB,IHC-p,IF/ICCELISA
Modification:Unmodfied/ Total
Source:Monoclonal Mouse
Storage and Stability:-20°C/1 year

$210
Product Details
Product Name
SOX-2 mouse mAb -Discontinued see alternative: W0454
Description
SRY-box 2(SOX2) Homo sapiens This intronless gene encodes a member of the SRY-related HMG-box (SOX) family of transcription factors involved in the regulation of embryonic development and in the determination of cell fate. The product of this gene is required for stem-cell maintenance in the central nervous system, and also regulates gene expression in the stomach. Mutations in this gene have been associated with optic nerve hypoplasia and with syndromic microphthalmia, a severe form of structural eye malformation. This gene lies within an intron of another gene called SOX2 overlapping transcript (SOX2OT). [provided by RefSeq, Jul 2008],
Catalog No
N0593
Reactivity
Human
Applications
WB,IHC-p,IF/ICC,ELISA
Modification
Unmodfied/ Total
Source
Monoclonal Mouse
Dilution
Western Blot: 1/500 - 1/2000. Immunohistochemistry: 1/200 - 1/1000. Immunofluorescence: 1/200 - 1/1000. ELISA: 1/10000. Not yet tested in other applications.
Purification
Affinity purification
Concentration
Storage and Stability
-20°C/1 year
Other Name
SOX2; Transcription factor SOX-2
Molecular Weight (Da)
Gene Name
SOX2
Protein Name
Transcription factor SOX-2
Human Gene ID
6657
Human Swiss Prot No.
P48431
Immunogen
Purified recombinant fragment of human SOX-2 expressed in E. Coli.
Specificity
SOX-2 Monoclonal Antibody detects endogenous levels of SOX-2 protein.
Formulation
Ascitic fluid containing 0.03% sodium azide,0.5% BSA, 50%glycerol.
Related Products