25% Off Select Antibodies and ELISA Kits
Sign In/Register 0

We use cookies, check our Privacy Policies.

CD21 mouse mAb (2C5) -Discontinued see alternative: W0463
CD21 mouse mAb (2C5) -Discontinued see alternative: W0463

Assay Biotechnology Inc Antibodies and ELISA Kits have been rigorously validated for laboratory grade quality results. High specificity paired with high affinity for targets of interest give researchers an advantage with our products

Catalog No: N1325
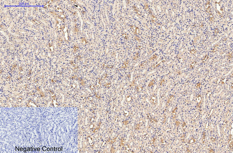
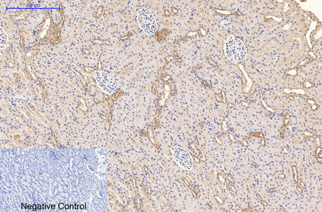
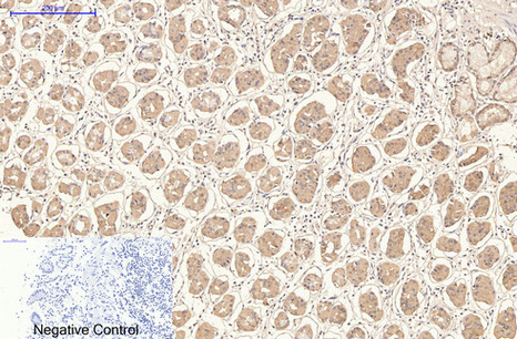
Reactivity:Human,Mouse,Rat
Applications:IHC-P,IF/ICC
Modification:Unmodfied/ Total
Source:Monoclonal Mouse
Storage and Stability:-20°C/1 year

$160
Product Details
Product Name
CD21 mouse mAb (2C5) -Discontinued see alternative: W0463
Description
This gene encodes a membrane protein, which functions as a receptor for Epstein-Barr virus (EBV) binding on B and T lymphocytes. Genetic variations in this gene are associated with susceptibility to systemic lupus erythematosus type 9 (SLEB9). Alternatively spliced transcript variants encoding different isoforms have been found for this gene.[provided by RefSeq, Sep 2009],
Catalog No
N1325
Reactivity
Human,Mouse,Rat
Applications
IHC-P,IF/ICC
Modification
Unmodfied/ Total
Source
Monoclonal Mouse
Dilution
IHC 1:200 IF 1:50-200
Purification
The antibody was affinity-purified from mouse ascites by affinity-chromatography using specific immunogen.
Concentration
Storage and Stability
-20°C/1 year
Other Name
CR2; C3DR; Complement receptor type 2; Cr2; Complement C3d receptor; Epstein-Barr virus receptor; EBV receptor; CD21
Molecular Weight (Da)
112916
Gene Name
CR2
Protein Name
Complement receptor type 2
Human Gene ID
1380
Human Swiss Prot No.
P20023
Immunogen
Synthetic Peptide of CD21
Specificity
The antibody detects endogenous CD21 proteins.
Formulation
PBS, pH 7.4, containing 0.5%BSA, 0.02% sodium azide as Preservative and 50% Glycerol.
Related Products