25% Off Select Antibodies and ELISA Kits
Sign In/Register 0

We use cookies, check our Privacy Policies.

CD1 mouse mAb (9H6) -Discontinued see alternative: V0222
CD1 mouse mAb (9H6) -Discontinued see alternative: V0222

Assay Biotechnology Inc Antibodies and ELISA Kits have been rigorously validated for laboratory grade quality results. High specificity paired with high affinity for targets of interest give researchers an advantage with our products

Catalog No: N1333
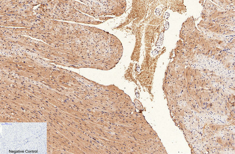
Reactivity:Human,Mouse,Rat
Applications:IHC-P,IF/ICC
Modification:Unmodfied/ Total
Source:Monoclonal Mouse
Storage and Stability:-20°C/1 year

$160
Product Details
Product Name
CD1 mouse mAb (9H6) -Discontinued see alternative: V0222
Description
This gene encodes a member of the CD1 family of transmembrane glycoproteins, which are structurally related to the major histocompatibility complex (MHC) proteins and form heterodimers with beta-2-microglobulin. The CD1 proteins mediate the presentation of primarily lipid and glycolipid antigens of self or microbial origin to T cells. The human genome contains five CD1 family genes organized in a cluster on chromosome 1. The CD1 family members are thought to differ in their cellular localization and specificity for particular lipid ligands.The protein encoded by this gene localizes to the plasma membrane and to recycling vesicles of the early endocytic system. Alternative splicing results in multiple transcript variants. [provided by RefSeq, Mar 2016],
Catalog No
N1333
Reactivity
Human,Mouse,Rat
Applications
IHC-P,IF/ICC
Modification
Unmodfied/ Total
Source
Monoclonal Mouse
Dilution
WB 500-2000 1:200 IF 1:50-200
Purification
The antibody was affinity-purified from mouse ascites by affinity-chromatography using specific immunogen.
Concentration
Storage and Stability
-20°C/1 year
Other Name
T-cell surface glycoprotein CD1a (T-cell surface antigen T6/Leu-6) (hTa1 thymocyte antigen) (CD antigen CD1a)
Molecular Weight (Da)
Gene Name
CD1A
Protein Name
T-cell surface glycoprotein CD1a
Human Gene ID
909
Human Swiss Prot No.
P06126
Immunogen
Synthetic Peptide of CD1
Specificity
The antibody detects endogenous CD1 proteins.
Formulation
PBS, pH 7.4, containing 0.5%BSA, 0.02% sodium azide as Preservative and 50% Glycerol.
Related Products