25% Off Select Antibodies and ELISA Kits
Sign In/Register 0

We use cookies, check our Privacy Policies.

CD5 mouse mAb (10G8) -Discontinued see alternative: W0286
CD5 mouse mAb (10G8) -Discontinued see alternative: W0286

Assay Biotechnology Inc Antibodies and ELISA Kits have been rigorously validated for laboratory grade quality results. High specificity paired with high affinity for targets of interest give researchers an advantage with our products

Catalog No: N1336
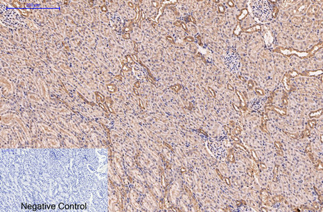
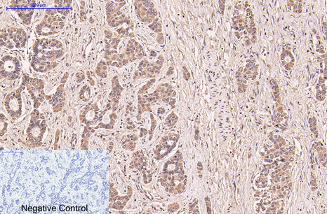
Reactivity:Human,Mouse,Rat
Applications:IHC-P,IF/ICC
Modification:Unmodfied/ Total
Source:Monoclonal Mouse
Storage and Stability:-20°C/1 year

$160
Product Details
Product Name
CD5 mouse mAb (10G8) -Discontinued see alternative: W0286
Description
function:May act as a receptor in regulating T-cell proliferation. CD5 interacts with CD72/LYB-2.,similarity:Contains 3 SRCR domains.,
Catalog No
N1336
Reactivity
Human,Mouse,Rat
Applications
IHC-P,IF/ICC
Modification
Unmodfied/ Total
Source
Monoclonal Mouse
Dilution
WB 500-2000 1:200 IF 1:50-200
Purification
The antibody was affinity-purified from mouse ascites by affinity-chromatography using specific immunogen.
Concentration
Storage and Stability
-20°C/1 year
Other Name
CD5; LEU1; T-cell surface glycoprotein CD5; Lymphocyte antigen T1/Leu-1; CD5
Molecular Weight (Da)
54625
Gene Name
CD5
Protein Name
T-cell surface glycoprotein CD5
Human Gene ID
921
Human Swiss Prot No.
P06127
Immunogen
Synthetic Peptide of CD5
Specificity
The antibody detects endogenous CD5 proteins.
Formulation
PBS, pH 7.4, containing 0.5%BSA, 0.02% sodium azide as Preservative and 50% Glycerol.
Related Products