25% Off Select Antibodies and ELISA Kits
Sign In/Register 0

We use cookies, check our Privacy Policies.

Oct1 mouse mAb (7G1) -Discontinued see alternative: W0381
Oct1 mouse mAb (7G1) -Discontinued see alternative: W0381

Assay Biotechnology Inc Antibodies and ELISA Kits have been rigorously validated for laboratory grade quality results. High specificity paired with high affinity for targets of interest give researchers an advantage with our products

Catalog No: N1354
Reactivity:Human
Applications:WB,IHC-p,IF/ICC
Modification:Unmodfied/ Total
Source:Monoclonal Mouse
Storage and Stability:-20°C/1 year

$160
Product Details
Product Name
Oct1 mouse mAb (7G1) -Discontinued see alternative: W0381
Description
The OCT1 transcription factor was among the first identified members of the POU transcription factor family (summarized by Sturm et al., 1993 [PubMed 8314572]). Members of this family contain the POU domain, a 160-amino acid region necessary for DNA binding to the octameric sequence ATGCAAAT.[supplied by OMIM, Jul 2010],
Catalog No
N1354
Reactivity
Human
Applications
WB,IHC-p,IF/ICC,
Modification
Unmodfied/ Total
Source
Monoclonal Mouse
Dilution
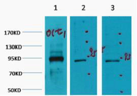
WB: 1:500-2000 IF 1:200 IHC 1:50-300
Purification
The antibody was affinity-purified from mouse ascites by affinity-chromatography using specific immunogen.
Concentration
Storage and Stability
-20°C/1 year
Other Name
Molecular Weight (Da)
76472
Gene Name
POU2F1
Protein Name
POU domain class 2 transcription factor
Human Gene ID
5451/5452
Human Swiss Prot No.
P14859/P09086
Immunogen
Synthetic Peptide of 42644
Specificity
The antibody detects endogenous Oct1 protein.
Formulation
PBS, pH 7.4, containing 0.5%BSA, 0.02% sodium azide as Preservative and 50% Glycerol.
Related Products