25% Off Select Antibodies and ELISA Kits
Sign In/Register 0

We use cookies, check our Privacy Policies.

Collagen III mouse mAb (Q76) -Discontinued see alternative: W0199
Collagen III mouse mAb (Q76) -Discontinued see alternative: W0199

Assay Biotechnology Inc Antibodies and ELISA Kits have been rigorously validated for laboratory grade quality results. High specificity paired with high affinity for targets of interest give researchers an advantage with our products

Catalog No: N1388
Reactivity:Human,Mouse,Rat
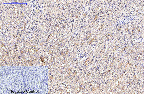
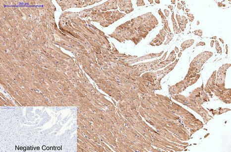
Applications:WB,IHC-p,IF/ICC
Modification:Unmodfied/ Total
Source:Monoclonal Mouse
Storage and Stability:-20°C/1 year

$160
Product Details
Product Name
Collagen III mouse mAb (Q76) -Discontinued see alternative: W0199
Description
collagen type III alpha 1 chain(COL3A1) Homo sapiens This gene encodes the pro-alpha1 chains of type III collagen, a fibrillar collagen that is found in extensible connective tissues such as skin, lung, uterus, intestine and the vascular system, frequently in association with type I collagen. Mutations in this gene are associated with Ehlers-Danlos syndrome types IV, and with aortic and arterial aneurysms. Two transcripts, resulting from the use of alternate polyadenylation signals, have been identified for this gene. [provided by R. Dalgleish, Feb 2008],
Catalog No
N1388
Reactivity
Human,Mouse,Rat
Applications
WB,IHC-p,IF/ICC
Modification
Unmodfied/ Total
Source
Monoclonal Mouse
Dilution
WB: 1:1000 IF 1:200 IHC 1:50-300
Purification
The antibody was affinity-purified from mouse ascites by affinity-chromatography using specific immunogen.
Concentration
Storage and Stability
-20°C/1 year
Other Name
COL3A1; Collagen alpha-1(III) chain
Molecular Weight (Da)
138564
Gene Name
COL3A1
Protein Name
Collagen alpha-1(III) chain
Human Gene ID
1281
Human Swiss Prot No.
P02461
Immunogen
Synthetic Peptide of Collagen III
Specificity
The antibody detects endogenous Collagen III protein.
Formulation
PBS, pH 7.4, containing 0.5%BSA, 0.02% sodium azide as Preservative and 50% Glycerol.
Related Products
Publications (4)