25% Off Select Antibodies and ELISA Kits
Sign In/Register 0

We use cookies, check our Privacy Policies.

Catenin-β mouse mAb (4F2) -Discontinued see alternative: W0266
Catenin-β mouse mAb (4F2) -Discontinued see alternative: W0266

Assay Biotechnology Inc Antibodies and ELISA Kits have been rigorously validated for laboratory grade quality results. High specificity paired with high affinity for targets of interest give researchers an advantage with our products

Catalog No: N1514
Reactivity:Human,Mouse,Rat
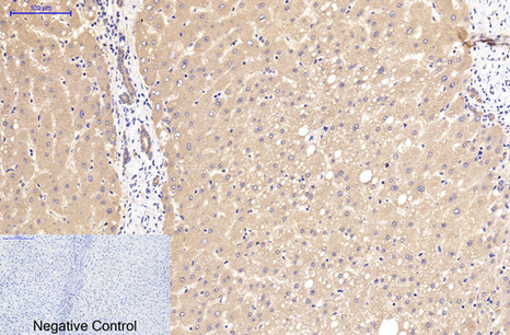
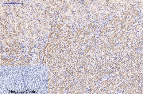
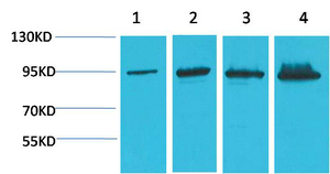
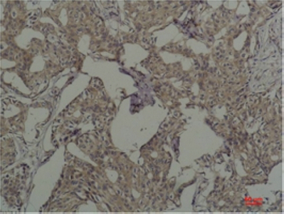
Applications:WB,IF/ICC,IHC-p
Modification:Unmodfied/ Total
Source:Monoclonal Mouse
Storage and Stability:-20°C/1 year

$160
Product Details
Product Name
Catenin-β mouse mAb (4F2) -Discontinued see alternative: W0266
Description
The protein encoded by this gene is part of a complex of proteins that constitute adherens junctions (AJs). AJs are necessary for the creation and maintenance of epithelial cell layers by regulating cell growth and adhesion between cells. The encoded protein also anchors the actin cytoskeleton and may be responsible for transmitting the contact inhibition signal that causes cells to stop dividing once the epithelial sheet is complete. Finally, this protein binds to the product of the APC gene, which is mutated in adenomatous polyposis of the colon. Mutations in this gene are a cause of colorectal cancer (CRC), pilomatrixoma (PTR), medulloblastoma (MDB), and ovarian cancer. Alternative splicing results in multiple transcript variants. [provided by RefSeq, Aug 2016],
Catalog No
N1514
Reactivity
Human,Mouse,Rat
Applications
WB,IF/ICC,IHC-p
Modification
Unmodfied/ Total
Source
Monoclonal Mouse
Dilution
WB: 1:1000-2000 IHC: 1:200-500 IF 1:200
Purification
The antibody was affinity-purified from mouse ascites by affinity-chromatography using epitope-specific immunogen.
Concentration
Storage and Stability
-20°C/1 year
Other Name
CTNNB1; CTNNB; OK/SW-cl.35; Catenin beta-1; Beta-catenin
Molecular Weight (Da)
Gene Name
CTNNB1
Protein Name
Catenin beta-1
Human Gene ID
1499
Human Swiss Prot No.
P35222
Immunogen
Recombinant Protein of Catenin-β
Specificity
The antibody detects endogenous Catenin-β protein.
Formulation
PBS, pH 7.4, containing 0.5%BSA, 0.02% sodium azide as Preservative and 50% Glycerol.
Related Products
Publications (3)