25% Off Select Antibodies and ELISA Kits
Sign In/Register 0

We use cookies, check our Privacy Policies.

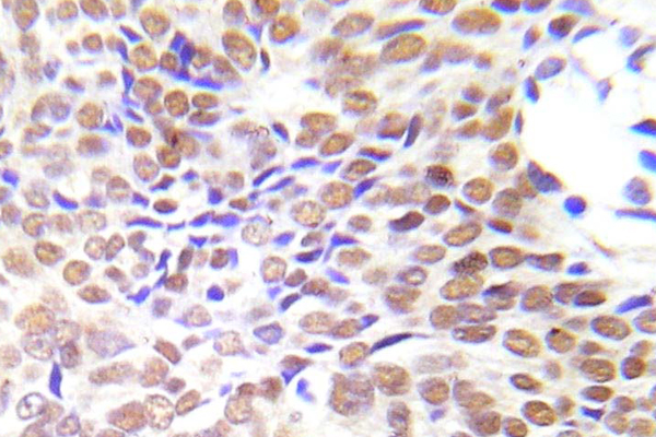
HDAC1 Antibody
HDAC1 Antibody

Assay Biotechnology Inc Antibodies and ELISA Kits have been rigorously validated for laboratory grade quality results. High specificity paired with high affinity for targets of interest give researchers an advantage with our products

Catalog No: R12-2177
Reactivity:Human,Mouse,Rat
Applications:IHC,ELISA
Modification:Unmodified/Total
Source:Polyclonal
Storage and Stability:Stable at -20°C for at least 1 year.

$205
Product Details
Product Name
HDAC1 Antibody
Description
Catalog No
R12-2177
Reactivity
Human, Mouse, Rat
Applications
IHC, ELISA
Modification
Unmodified/Total
Source
Rabbit Polyclonal
Application Dilutions
IHC: 1:50~1:100 ELISA: 1:10000
Purification
The antibody was purified from rabbit antiserum by affinity-chromatography using immunogen.
Concentration
1 mg/ml
Storage and Stability
Stable at -20°C for at least 1 year.
Synonyms
HD1; Histone deacetylase 1; RPD3L1
MW (kDa)
55 kDa
NCBI Gene Symbol
HDAC1
Gene ID
3065
Swiss-Prot No.
Q13547
Immunogen
The antiserum was produced against synthesized peptide derived from human HDAC1.
Immunogen Range
378-427
Specificity
HDAC1 antibody detects endogenous levels of HDAC1.
Physical Form
Rabbit IgG in phosphate buffered saline (without Mg2+ and Ca2+), pH 7.4, 150mM NaCl, 0.02% sodium azide and 50% glycerol.
Related Products