25% Off Select Antibodies and ELISA Kits
Sign In/Register 0

We use cookies, check our Privacy Policies.

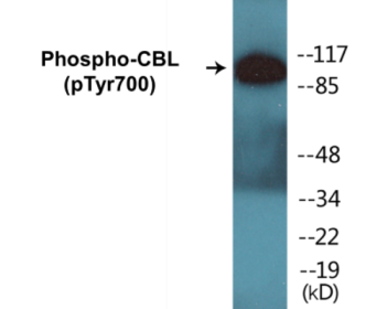
Phospho-CBL (Tyr700) Colorimetric Cell-Based ELISA Kit
Phospho-CBL (Tyr700) Colorimetric Cell-Based ELISA Kit

Assay Biotechnology Inc Antibodies and ELISA Kits have been rigorously validated for laboratory grade quality results. High specificity paired with high affinity for targets of interest give researchers an advantage with our products

Catalog No: CBP1146
Reactivity:H:Y700,M:Y698,R:Y806
Assay Type:Cell-Based ELISA
Format:2 Plates: TC 96-Well Plates
Dynamic Range:At least 5000 cells/well

$500
Product Details
Product Name
Phospho-CBL (Tyr700) Colorimetric Cell-Based ELISA Kit
Description
The Phospho-CBL(Tyr700) Colorimetric Cell-Based ELISA Kit is a convenient, lysate-free, high throughput and sensitive assay kit that can detect Phospho-CBL(Tyr700) protein expression profile in cells. The kit can be used for measuring the relative amounts of Phospho-CBL(Tyr700) in cultured cells as well as screening for the effects that variuos treatments, inhibitors (ie siRNA or chemicals), or activators have on Phospho-CBL(Tyr700).
Catalog No
CBP1146
Format
2 Plates: TC 96-Well Plates
Detection Target
Phospho-CBL(Tyr700)
Reactivity
H:Y700, M:Y698, R:Y806
Detection Method
Colorimetric 450 nm
Assay Type
Cell-Based ELISA
SwissProt ID
P22681
NCBI Gene ID
867
Target Synonyms
Cas-Br-M (murine) ecotropic retroviral transforming; CBL E3 ubiquitin protein ligase; CBL2; Proto-oncogene c-CBL; Signal transduction protein CBL
Storage and Stability Guarantee
4°C/6 Months
Sample Type
Researchers plate their cell line of choice
Range
At least 5000 cells/well
Assay Time
4.5 hours
Related Products