25% Off Select Antibodies and ELISA Kits
Sign In/Register 0

We use cookies, check our Privacy Policies.

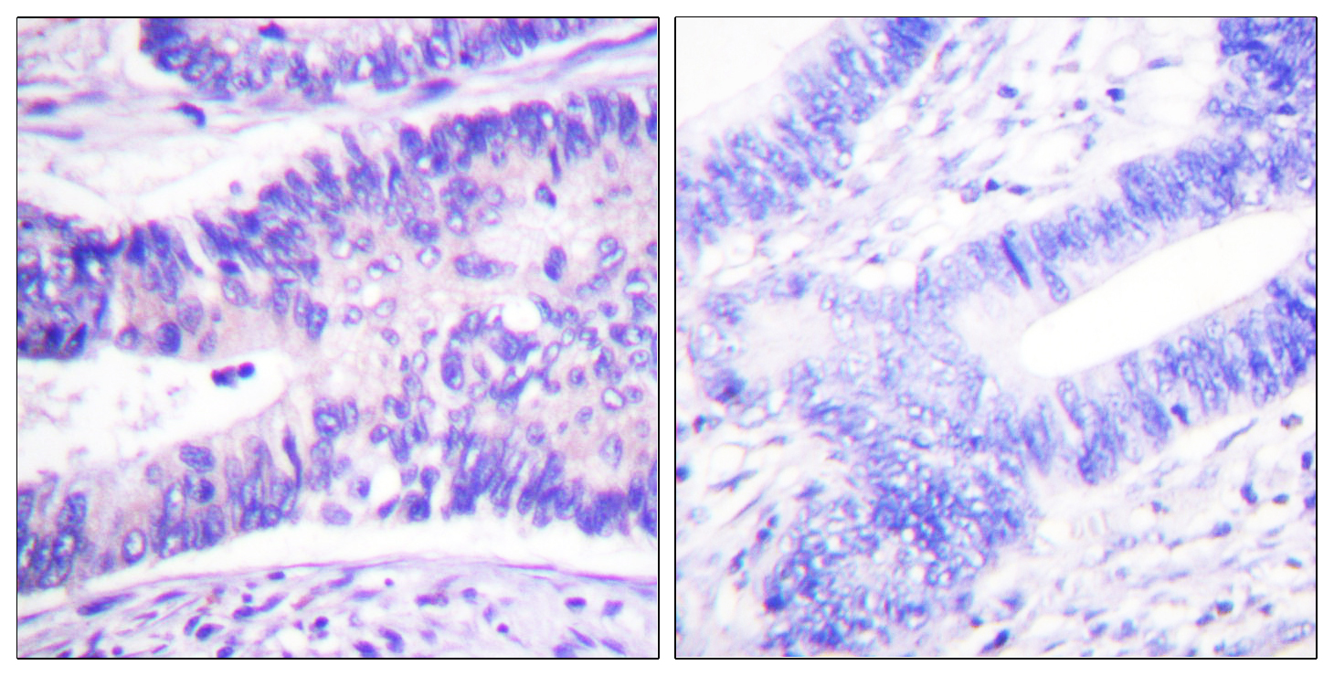
WAVE1 (Phospho-Tyr125) Antibody
WAVE1 (Phospho-Tyr125) Antibody

Assay Biotechnology Inc Antibodies and ELISA Kits have been rigorously validated for laboratory grade quality results. High specificity paired with high affinity for targets of interest give researchers an advantage with our products

Catalog No: A0598
Reactivity:Human,Mouse,Rat
Applications:WB,IHC-p,IF/ICC,ELISA
Modification:Phospho Specific
Source:Polyclonal Rabbit
Storage and Stability:-20°C/1 year

$205
Product Details
Product Name
WAVE1 (Phospho-Tyr125) Antibody
Description
The protein encoded by this gene, a member of the Wiskott-Aldrich syndrome protein (WASP)-family, plays a critical role downstream of Rac, a Rho-family small GTPase, in regulating the actin cytoskeleton required for membrane ruffling. It has been shown to associate with an actin nucleation core Arp2/3 complex while enhancing actin polymerization in vitro. Wiskott-Aldrich syndrome is a disease of the immune system, likely due to defects in regulation of actin cytoskeleton. Multiple alternatively spliced transcript variants encoding the same protein have been found for this gene. [provided by RefSeq, Jul 2008]
Catalog No
A0598
Reactivity
Human, Mouse, Rat
Applications
WB, IHC-p, IF/ICC, ELISA
Modification
Phospho Specific
Source
Polyclonal Rabbit
Dilution
Western Blot: 1/500 - 1/2000. Immunohistochemistry: 1/100 - 1/300. Immunofluorescence: 1/200 - 1/1000. ELISA: 1/5000. Not yet tested in other applications.
Purification
The antibody was affinity-purified from rabbit antiserum by affinity-chromatography using epitope-specific immunogen.
Concentration
1 mg/ml
Storage and Stability
-20°C/1 year
Other Name
WASF1; KIAA0269; SCAR1; WAVE1; Wiskott-Aldrich syndrome protein family member 1; WASP family protein member 1; Protein WAVE-1; Verprolin homology domain-containing protein 1
Molecular Weight (Da)
61652
Gene Name
WASF1
Protein Name
Wiskott-Aldrich syndrome protein family member 1
Human Gene ID
8936
Human Swiss Prot No.
Q92558
Immunogen
The antiserum was produced against synthesized peptide derived from human WAVE1 around the phosphorylation site of Tyr125. AA range:91-140
Specificity
Phospho-WAVE1 (Y125) Polyclonal Antibody detects endogenous levels of WAVE1 protein only when phosphorylated at Y125.
Formulation
Liquid in PBS containing 50% glycerol, 0.5% BSA and 0.02% sodium azide.
Related Products