25% Off Select Antibodies and ELISA Kits
Sign In/Register 0

We use cookies, check our Privacy Policies.

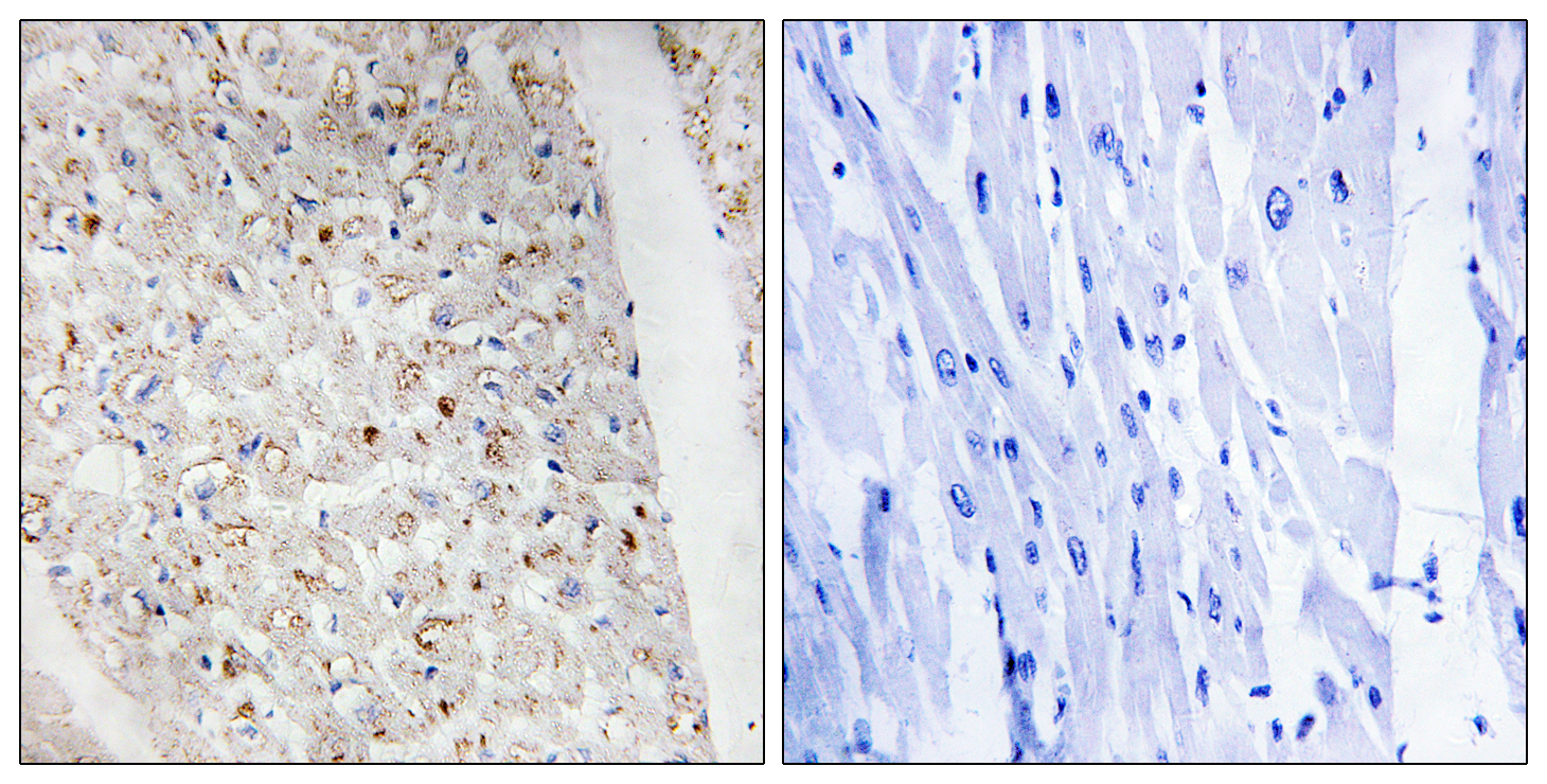
PKD1/2/3 (Phospho-Ser738/S742) Antibody
PKD1/2/3 (Phospho-Ser738/S742) Antibody

Assay Biotechnology Inc Antibodies and ELISA Kits have been rigorously validated for laboratory grade quality results. High specificity paired with high affinity for targets of interest give researchers an advantage with our products

Catalog No: A0720
Reactivity:Human,Mouse,Rat
Applications:WB,IHC-p,IF(paraffin section),ELISA
Modification:Phospho Specific
Source:Polyclonal Rabbit
Storage and Stability:-20°C/1 year

$205
Product Details
Product Name
PKD1/2/3 (Phospho-Ser738/S742) Antibody
Description
PRKD1 is a serine/threonine kinase that regulates a variety of cellular functions, including membrane receptor signaling, transport at the Golgi, protection from oxidative stress at the mitochondria, gene transcription, and regulation of cell shape, motility, and adhesion (summary by Eiseler et al., 2009 [PubMed 19329994]).[supplied by OMIM, Nov 2010]
Catalog No
A0720
Reactivity
Human, Mouse, Rat
Applications
WB, IHC-p, IF(paraffin section), ELISA
Modification
Phospho Specific
Source
Polyclonal Rabbit
Dilution
Western Blot: 1/500 - 1/2000. Immunohistochemistry: 1/100 - 1/300. ELISA: 1/5000. Not yet tested in other applications.
Purification
The antibody was affinity-purified from rabbit antiserum by affinity-chromatography using epitope-specific immunogen.
Concentration
1 mg/ml
Storage and Stability
-20°C/1 year
Other Name
PRKD1; PKD; PKD1; PRKCM; Serine/threonine-protein kinase D1; Protein kinase C mu type; Protein kinase D; nPKC-D1; nPKC-mu; PRKD2; PKD2; HSPC187; Serine/threonine-protein kinase D2; nPKC-D2; PRKD3; EPK2; PRKCN; Serine/threonine-protein kinas
Molecular Weight (Da)
101888
Gene Name
KPCD1/KPCD2/KPCD3
Protein Name
Serine/threonine-protein kinase D1/2/3
Human Gene ID
5587/25865/23683
Human Swiss Prot No.
Q15139/Q9BZL6/O94806
Immunogen
The antiserum was produced against synthesized peptide derived from human PKD1/2/3/PKC mu around the phosphorylation site of Ser738 and Ser742. AA range:706-755
Specificity
Phospho-PKD1/2/3 (S738/S742) Polyclonal Antibody detects endogenous levels of PKD1/2/3 protein only when phosphorylated at S738/S742.
Formulation
Liquid in PBS containing 50% glycerol, 0.5% BSA and 0.02% sodium azide.
Related Products