25% Off Select Antibodies and ELISA Kits
Sign In/Register 0

We use cookies, check our Privacy Policies.

TPH1 Antibody

Assay Biotechnology Inc Antibodies and ELISA Kits have been rigorously validated for laboratory grade quality results. High specificity paired with high affinity for targets of interest give researchers an advantage with our products

Catalog No: B1012
Reactivity:Human,Mouse,Rat
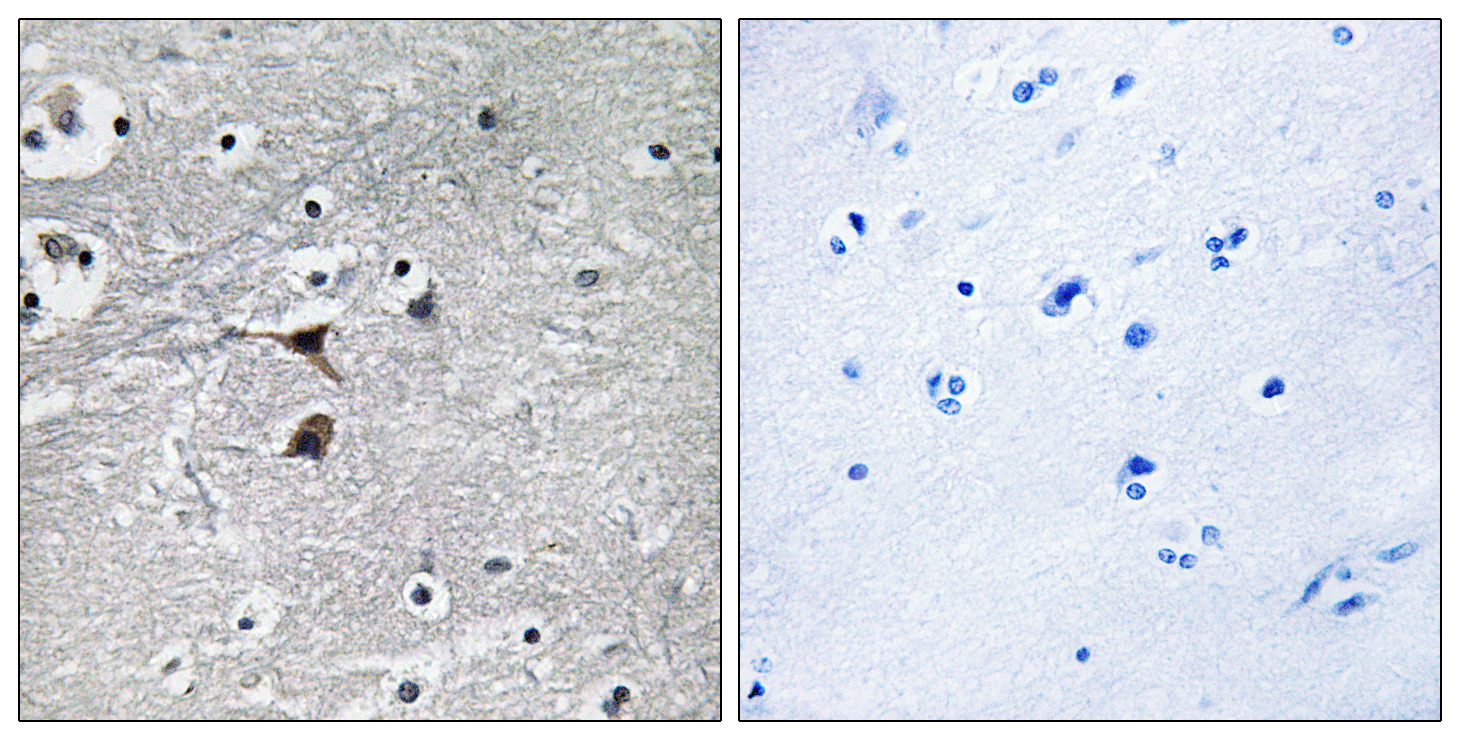
Applications:WB,IHC,IF,ELISA
Modification:Unmodified/Total
Source:Polyclonal,Rabbit,IgG
Storage and Stability:Store at -20°C/1 year

$205
Product Details
Product Name
TPH1 Antibody
Description
This gene encodes a member of the aromatic amino acid hydroxylase family. The encoded protein catalyzes the first and rate limiting step in the biosynthesis of serotonin, an important hormone and neurotransmitter. Mutations in this gene have been associated with an elevated risk for a variety of diseases and disorders, including schizophrenia, somatic anxiety, anger-related traits, bipolar disorder, suicidal behavior, addictions, and others.[provided by RefSeq, Apr 2009],
Catalog No
B1012
Reactivity
Human, Mouse, Rat
Source
Polyclonal, Rabbit,IgG
Modification
Unmodified/Total
Applications
WB, IHC, IF, ELISA
Dilution
WB 1:500 - 1:2000. IHC 1:100 - 1:300. IF 1:200 - 1:1000. ELISA: 1:20000. Not yet tested in other applications.
Purification
The antibody was affinity-purified from rabbit antiserum by affinity-chromatography using epitope-specific immunogen.
Concentration
1 mg/ml
Storage and Stability
Store at -20°C/1 year
Other Name
TPH1; TPH; TPRH; TRPH; Tryptophan 5-hydroxylase 1; Tryptophan 5-monooxygenase 1
Molecular Weight (Da or kDa)
Gene Name
TPH1
Protein Name
Tryptophan 5-hydroxylase 1
Human Gene ID
7166
Human Swiss Prot No.
P17752
Immunogen
The antiserum was produced against synthesized peptide derived from human Tryptophan Hydroxylase. AA range:231-280
Specificity
TPH1 Polyclonal Antibody detects endogenous levels of TPH1 protein.
Formulation
Liquid in PBS containing 50% glycerol, 0.5% BSA and 0.02% sodium azide.
Related Products
Publications (1)