25% Off Select Antibodies and ELISA Kits
Sign In/Register 0

We use cookies, check our Privacy Policies.

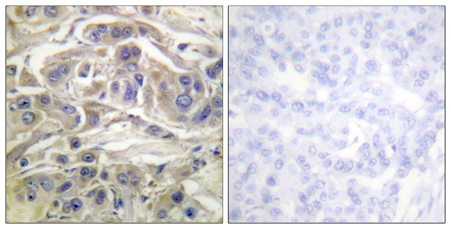
C3G Antibody

Assay Biotechnology Inc Antibodies and ELISA Kits have been rigorously validated for laboratory grade quality results. High specificity paired with high affinity for targets of interest give researchers an advantage with our products

Catalog No: B1120
Reactivity:Human,Rat,Mouse
Applications:IHC,IF,ELISA
Modification:Unmodified/Total
Source:Polyclonal,Rabbit,IgG
Storage and Stability:Store at -20°C/1 year

$205
Product Details
Product Name
C3G Antibody
Description
This gene encodes a human guanine nucleotide exchange factor. It transduces signals from CRK by binding the SH3 domain of CRK, and activating several members of the Ras family of GTPases. This signaling cascade that may be involved in apoptosis, integrin-mediated signal transduction, and cell transformation. Several alternatively spliced transcript variants of this gene have been described, but the full-length nature of some variants has not been determined. [provided by RefSeq, Jul 2008],
Catalog No
B1120
Reactivity
Human, Rat, Mouse
Source
Polyclonal, Rabbit,IgG
Modification
Unmodified/Total
Applications
IHC, IF, ELISA
Dilution
IHC 1:100 - 1:300. ELISA: 1:5000.. IF 1:50-200
Purification
The antibody was affinity-purified from rabbit antiserum by affinity-chromatography using epitope-specific immunogen.
Concentration
1 mg/ml
Storage and Stability
Store at -20°C/1 year
Other Name
RAPGEF1; GRF2; Rap guanine nucleotide exchange factor 1; CRK SH3-binding GNRP; Guanine nucleotide-releasing factor 2; Protein C3G
Molecular Weight (Da or kDa)
121kD
Gene Name
RAPGEF1
Protein Name
Rap guanine nucleotide exchange factor 1
Human Gene ID
2889
Human Swiss Prot No.
Q13905
Immunogen
The antiserum was produced against synthesized peptide derived from human RAPGEF1. AA range:470-519
Specificity
C3G Polyclonal Antibody detects endogenous levels of C3G protein.
Formulation
Liquid in PBS containing 50% glycerol, 0.5% BSA and 0.02% sodium azide.
Related Products