25% Off Select Antibodies and ELISA Kits
Sign In/Register 0

We use cookies, check our Privacy Policies.

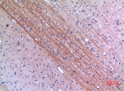
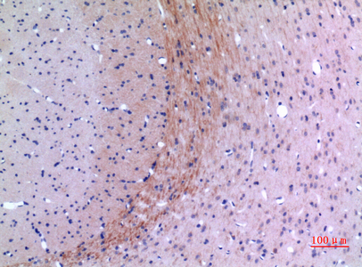
Lyn Antibody

Assay Biotechnology Inc Antibodies and ELISA Kits have been rigorously validated for laboratory grade quality results. High specificity paired with high affinity for targets of interest give researchers an advantage with our products

Catalog No: R12-2229
Reactivity:Human,Mouse,Rat
Applications:WB,IHC-p,IF(paraffin section),ELISA
Modification:Unmodified/Total
Source:Polyclonal Rabbit
Storage and Stability:-20°C/1 year

$205
Product Details
Product Name
Lyn Antibody
Description
Catalog No
R12-2229
Reactivity
Human, Mouse, Rat
Applications
WB, IHC-p, IF(paraffin section), ELISA
Modification
Unmodified/Total
Source
Polyclonal Rabbit
Dilution
Western Blot: 1/500 - 1/2000. IHC-p: 1/100-1/300. ELISA: 1/20000. Not yet tested in other applications.
Purification
The antibody was affinity-purified from rabbit antiserum by affinity-chromatography using epitope-specific immunogen.
Concentration
1 mg/ml
Storage and Stability
-20°C/1 year
Other Name
LYN; JTK8; Tyrosine-protein kinase Lyn; Lck/Yes-related novel protein tyrosine kinase; V-yes-1 Yamaguchi sarcoma viral related oncogene homolog; p53Lyn; p56Lyn
Molecular Weight (Da)
58443
Gene Name
LYN
Protein Name
Tyrosine-protein kinase Lyn
Human Gene ID
4067
Human Swiss Prot No.
P07948
Immunogen
The antiserum was produced against synthesized peptide derived from human Lyn. AA range:149-198
Specificity
Lyn Polyclonal Antibody detects endogenous levels of Lyn protein.
Formulation
Liquid in PBS containing 50% glycerol, 0.5% BSA and 0.02% sodium azide.
Related Products