25% Off Select Antibodies and ELISA Kits
Sign In/Register 0

We use cookies, check our Privacy Policies.

HSP90A Antibody
HSP90A Antibody

Assay Biotechnology Inc Antibodies and ELISA Kits have been rigorously validated for laboratory grade quality results. High specificity paired with high affinity for targets of interest give researchers an advantage with our products

Catalog No: C0234
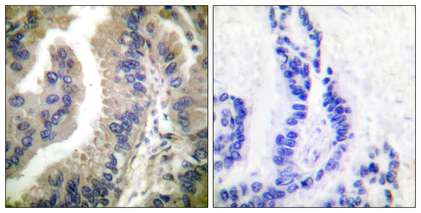
Reactivity:Human,Mouse,Rat
Applications:WB,IHC,IF,ELISA
Modification:Unmodified/Total
Source:Polyclonal,Rabbit,IgG
Storage and Stability:Store at -20°C/1 year

$205
Product Details
Product Name
HSP90A Antibody
Description
The protein encoded by this gene is an inducible molecular chaperone that functions as a homodimer. The encoded protein aids in the proper folding of specific target proteins by use of an ATPase activity that is modulated by co-chaperones. Two transcript variants encoding different isoforms have been found for this gene. [provided by RefSeq, Jan 2012],
Catalog No
C0234
Reactivity
Human, Mouse, Rat
Source
Polyclonal, Rabbit,IgG
Modification
Unmodified/Total
Applications
WB, IHC, IF, ELISA
Dilution
WB 1:500 - 1:2000. IHC 1:100 - 1:300. IF 1:200 - 1:1000. ELISA: 1:40000. Not yet tested in other applications.
Purification
The antibody was affinity-purified from rabbit antiserum by affinity-chromatography using epitope-specific immunogen.
Concentration
1 mg/ml
Storage and Stability
Store at -20°C/1 year
Other Name
HSP90AA1; HSP90A; HSPC1; HSPCA; Heat shock protein HSP 90-alpha; Heat shock 86 kDa; HSP 86; HSP86; Renal carcinoma antigen NY-REN-38
Molecular Weight (Da or kDa)
Gene Name
HSP90AA1
Protein Name
Heat shock protein HSP 90-alpha
Human Gene ID
3320
Human Swiss Prot No.
P07900
Immunogen
The antiserum was produced against synthesized peptide derived from human HSP90A. AA range:683-732
Specificity
HSP90A Polyclonal Antibody detects endogenous levels of HSP90A protein.
Formulation
Liquid in PBS containing 50% glycerol, 0.5% BSA and 0.02% sodium azide.
Related Products
Publications (2)