25% Off Select Antibodies and ELISA Kits
Sign In/Register 0

We use cookies, check our Privacy Policies.

AKAP 95 Antibody
AKAP 95 Antibody

Assay Biotechnology Inc Antibodies and ELISA Kits have been rigorously validated for laboratory grade quality results. High specificity paired with high affinity for targets of interest give researchers an advantage with our products

Catalog No: C10121
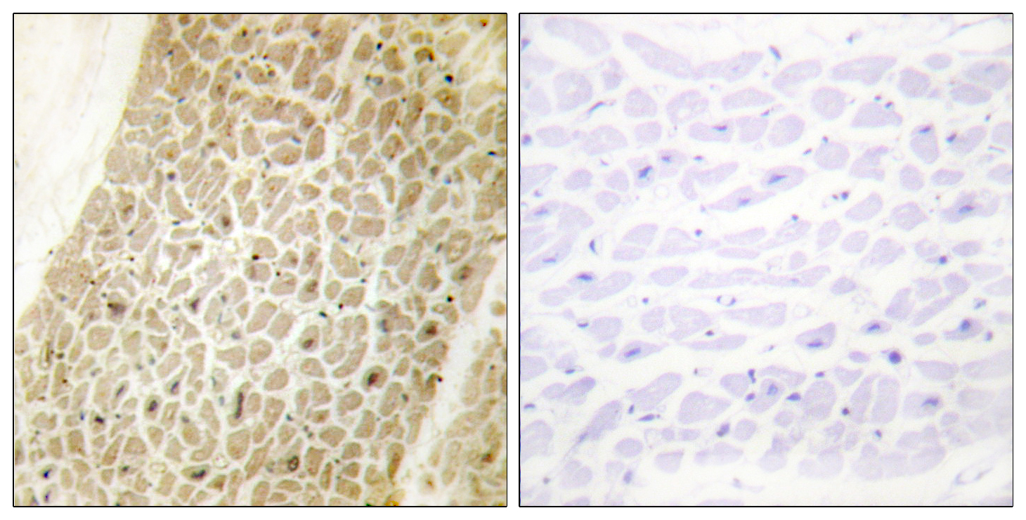
Reactivity:Human,Mouse,Rat
Applications:WB,IHC,IF,ELISA
Modification:Unmodified/Total
Source:Polyclonal,Rabbit,IgG
Storage and Stability:Store at -20°C/1 year

$205
Product Details
Product Name
AKAP 95 Antibody
Description
This gene encodes a member of the A-kinase anchor protein family. A-kinase anchor proteins are scaffold proteins that contain a binding domain for the RI/RII subunit of protein kinase A (PKA) and recruit PKA and other signaling molecules to specific subcellular locations.This gene encodes a nuclear A-kinase anchor protein that binds to the RII alpha subunit of PKA and may play a role in chromosome condensation during mitosis by targeting PKA and the condensin complex to chromatin. A pseudogene of this gene is located on the short arm of chromosome 9. [provided by RefSeq, May 2011],
Catalog No
C10121
Reactivity
Human, Mouse, Rat
Source
Polyclonal, Rabbit,IgG
Modification
Unmodified/Total
Applications
WB, IHC, IF, ELISA
Dilution
WB 1:500 - 1:2000. IHC 1:100 - 1:300. IF 1:200 - 1:1000. ELISA: 1:20000. Not yet tested in other applications.
Purification
The antibody was affinity-purified from rabbit antiserum by affinity-chromatography using epitope-specific immunogen.
Concentration
1 mg/ml
Storage and Stability
Store at -20°C/1 year
Other Name
AKAP8; AKAP95; A-kinase anchor protein 8; AKAP-8; A-kinase anchor protein 95 kDa; AKAP 95
Molecular Weight (Da or kDa)
Gene Name
AKAP8
Protein Name
A-kinase anchor protein 8
Human Gene ID
10270
Human Swiss Prot No.
O43823
Immunogen
The antiserum was produced against synthesized peptide derived from human AKAP8. AA range:331-380
Specificity
AKAP 95 Polyclonal Antibody detects endogenous levels of AKAP 95 protein.
Formulation
Liquid in PBS containing 50% glycerol, 0.5% BSA and 0.02% sodium azide.
Related Products