25% Off Select Antibodies and ELISA Kits
Sign In/Register 0

We use cookies, check our Privacy Policies.

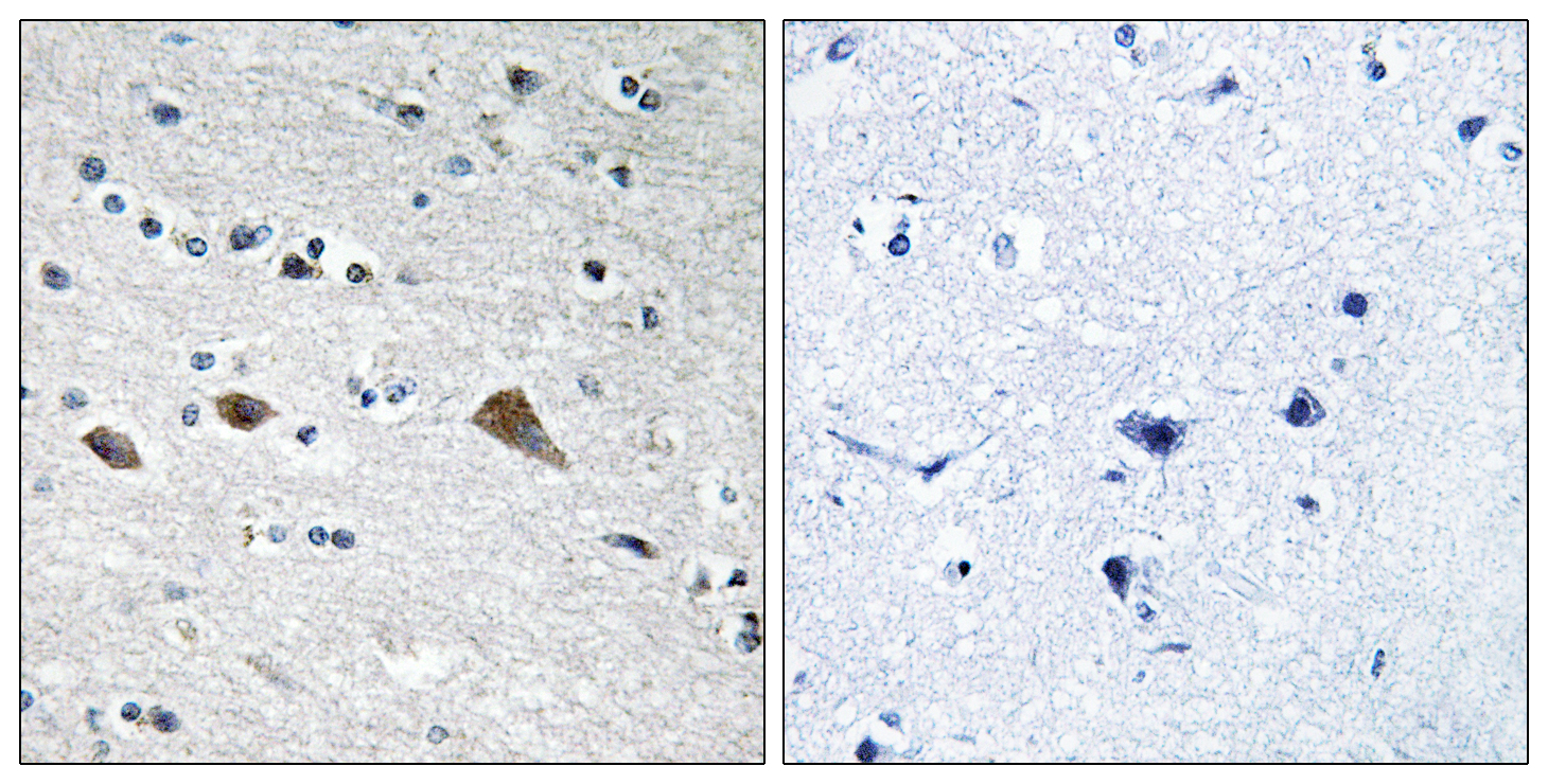
BCAR3 Antibody
BCAR3 Antibody

Assay Biotechnology Inc Antibodies and ELISA Kits have been rigorously validated for laboratory grade quality results. High specificity paired with high affinity for targets of interest give researchers an advantage with our products

Catalog No: C10193
Reactivity:Human,Rat,Mouse
Applications:WB,IHC,IF,ELISA
Modification:Unmodified/Total
Source:Polyclonal,Rabbit,IgG
Storage and Stability:Store at -20°C/1 year

$205
Product Details
Product Name
BCAR3 Antibody
Description
breast cancer anti-estrogen resistance 3(BCAR3) Homo sapiens Breast tumors are initially dependent on estrogens for growth and progression and can be inhibited by anti-estrogens such as tamoxifen. However, breast cancers progress to become anti-estrogen resistant. Breast cancer anti-estrogen resistance gene 3 was identified in the search for genes involved in the development of estrogen resistance. The gene encodes a component of intracellular signal transduction that causes estrogen-independent proliferation in human breast cancer cells. The protein contains a putative src homology 2 (SH2) domain, a hall mark of cellular tyrosine kinase signaling molecules, and is partly homologous to the cell division cycle protein CDC48. Multiple transcript variants encoding different isoforms have been found for this gene. [provided by RefSeq, May 2012],
Catalog No
C10193
Reactivity
Human, Rat, Mouse
Source
Polyclonal, Rabbit,IgG
Modification
Unmodified/Total
Applications
WB, IHC, IF, ELISA
Dilution
WB 1:500 - 1:2000. IHC 1:100 - 1:300. IF 1:200 - 1:1000. ELISA: 1:10000. Not yet tested in other applications.
Purification
The antibody was affinity-purified from rabbit antiserum by affinity-chromatography using epitope-specific immunogen.
Concentration
1 mg/ml
Storage and Stability
Store at -20°C/1 year
Other Name
BCAR3; NSP2; SH2D3B; Breast cancer anti-estrogen resistance protein 3; Novel SH2-containing protein 2; SH2 domain-containing protein 3B
Molecular Weight (Da or kDa)
Gene Name
BCAR3
Protein Name
Breast cancer anti-estrogen resistance protein 3
Human Gene ID
8412
Human Swiss Prot No.
O75815
Immunogen
The antiserum was produced against synthesized peptide derived from human BCAR3. AA range:761-810
Specificity
BCAR3 Polyclonal Antibody detects endogenous levels of BCAR3 protein.
Formulation
Liquid in PBS containing 50% glycerol, 0.5% BSA and 0.02% sodium azide.
Related Products