25% Off Select Antibodies and ELISA Kits
Sign In/Register 0

We use cookies, check our Privacy Policies.

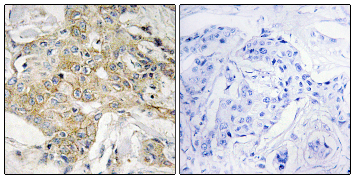
TM4SF1 Antibody
TM4SF1 Antibody

Assay Biotechnology Inc Antibodies and ELISA Kits have been rigorously validated for laboratory grade quality results. High specificity paired with high affinity for targets of interest give researchers an advantage with our products

Catalog No: C10517
Reactivity:Human,Mouse
Applications:IHC,IF,ELISA
Modification:Unmodified/Total
Source:Polyclonal,Rabbit,IgG
Storage and Stability:Store at -20°C/1 year

$205
Product Details
Product Name
TM4SF1 Antibody
Description
The protein encoded byThis gene is a member of the transmembrane 4 superfamily, also known as the tetraspanin family. Most of these members are cell-surface proteins that are characterized by the presence of four hydrophobic domains. The proteins mediate signal transduction events that play a role in the regulation of cell development, activation, growth and motility. This encoded protein is a cell surface antigen and is highly expressed in different carcinomas. [provided by RefSeq, Jul 2008],
Catalog No
C10517
Reactivity
Human, Mouse
Source
Polyclonal, Rabbit,IgG
Modification
Unmodified/Total
Applications
IHC, IF, ELISA
Dilution
IHC 1:100 - 1:300. ELISA: 1:20000.. IF 1:50-200
Purification
The antibody was affinity-purified from rabbit antiserum by affinity-chromatography using epitope-specific immunogen.
Concentration
1 mg/ml
Storage and Stability
Store at -20°C/1 year
Other Name
TM4SF1; M3S1; TAAL6; Transmembrane 4 L6 family member 1; Membrane component chromosome 3 surface marker 1; Tumor-associated antigen L6
Molecular Weight (Da or kDa)
22kD
Gene Name
TM4SF1
Protein Name
Transmembrane 4 L6 family member 1
Human Gene ID
4071
Human Swiss Prot No.
P30408
Immunogen
The antiserum was produced against synthesized peptide derived from human T4S1. AA range:1-50
Specificity
TM4SF1 Polyclonal Antibody detects endogenous levels of TM4SF1 protein.
Formulation
Liquid in PBS containing 50% glycerol, 0.5% BSA and 0.02% sodium azide.
Related Products