25% Off Select Antibodies and ELISA Kits
Sign In/Register 0

We use cookies, check our Privacy Policies.

ApoL2 Antibody
ApoL2 Antibody

Assay Biotechnology Inc Antibodies and ELISA Kits have been rigorously validated for laboratory grade quality results. High specificity paired with high affinity for targets of interest give researchers an advantage with our products

Catalog No: C14540
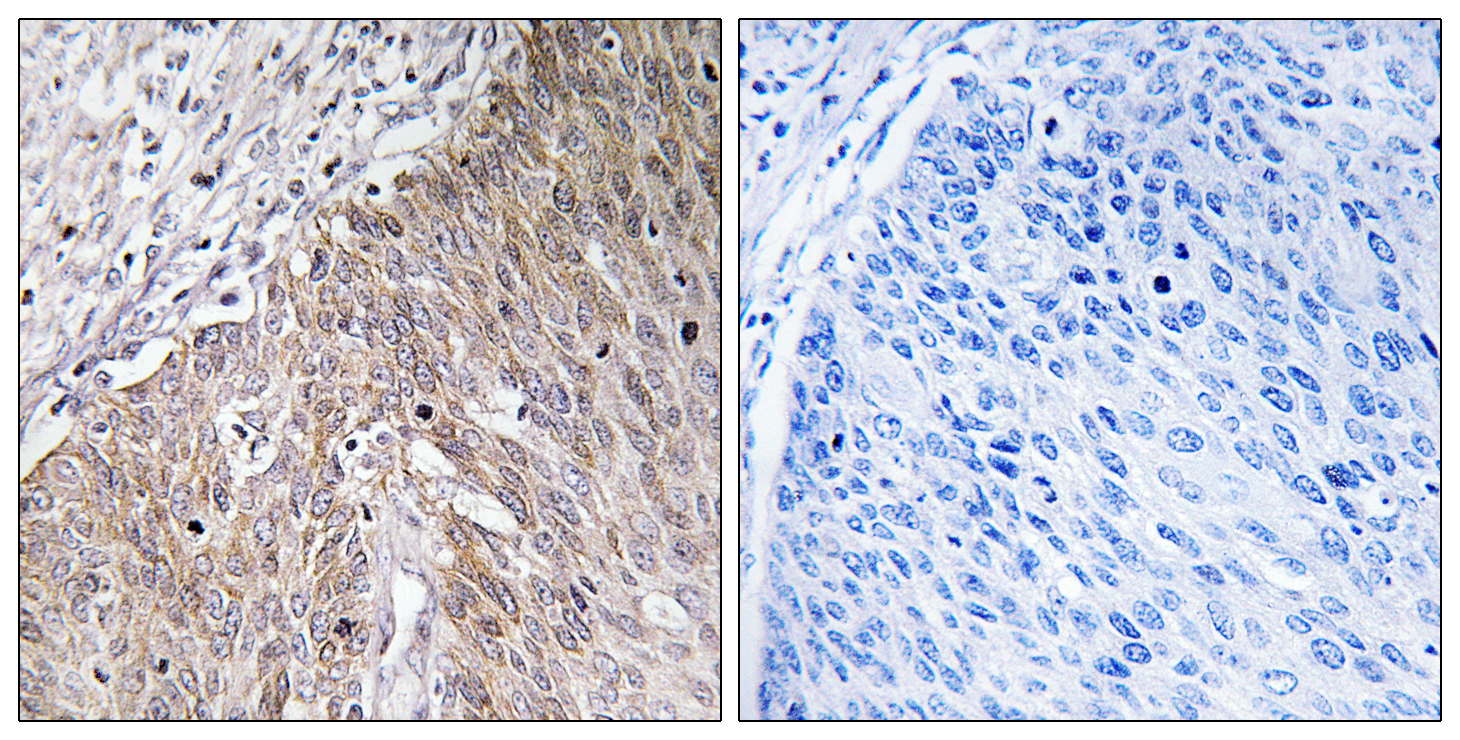
Reactivity:Human,Rat,Mouse
Applications:WB,IHC,IF,ELISA
Modification:Unmodified/Total
Source:Polyclonal,Rabbit,IgG
Storage and Stability:Store at -20°C/1 year

$205
Product Details
Product Name
ApoL2 Antibody
Description
This gene is a member of the apolipoprotein L gene family. The encoded protein is found in the cytoplasm, where it may affect the movement of lipids or allow the binding of lipids to organelles. Two transcript variants encoding the same protein have been found for this gene. [provided by RefSeq, Jul 2008],
Catalog No
C14540
Reactivity
Human, Rat, Mouse
Source
Polyclonal, Rabbit,IgG
Modification
Unmodified/Total
Applications
WB, IHC, IF, ELISA
Dilution
WB 1:500 - 1:2000. IHC 1:100 - 1:300. IF 1:200 - 1:1000. ELISA: 1:40000. Not yet tested in other applications.
Purification
The antibody was affinity-purified from rabbit antiserum by affinity-chromatography using epitope-specific immunogen.
Concentration
1 mg/ml
Storage and Stability
Store at -20°C/1 year
Other Name
APOL2; Apolipoprotein L2; Apolipoprotein L-II; ApoL-II
Molecular Weight (Da or kDa)
Gene Name
APOL2
Protein Name
Apolipoprotein L2
Human Gene ID
23780
Human Swiss Prot No.
Q9BQE5
Immunogen
The antiserum was produced against synthesized peptide derived from human APOL2. AA range:191-240
Specificity
ApoL2 Polyclonal Antibody detects endogenous levels of ApoL2 protein.
Formulation
Liquid in PBS containing 50% glycerol, 0.5% BSA and 0.02% sodium azide.
Related Products