25% Off Select Antibodies and ELISA Kits
Sign In/Register 0

We use cookies, check our Privacy Policies.

Arylsulfatase D Antibody
Arylsulfatase D Antibody

Assay Biotechnology Inc Antibodies and ELISA Kits have been rigorously validated for laboratory grade quality results. High specificity paired with high affinity for targets of interest give researchers an advantage with our products

Catalog No: C14566
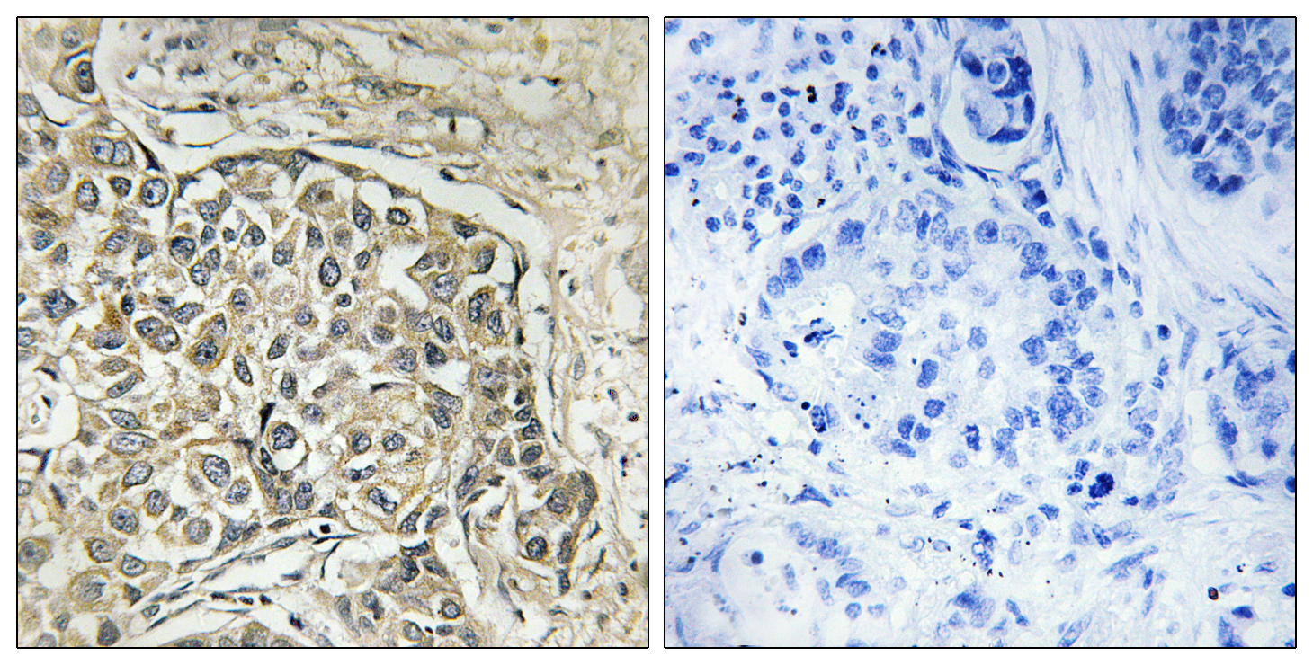
Reactivity:Human,Rat,Mouse
Applications:IHC,IF,ELISA
Modification:Unmodified/Total
Source:Polyclonal,Rabbit,IgG
Storage and Stability:Store at -20°C/1 year

$205
Product Details
Product Name
Arylsulfatase D Antibody
Description
The protein encoded byThis gene is a member of the sulfatase family. Sulfatases are essential for the correct composition of bone and cartilage matrix. The encoded protein is postranslationally glycosylated and localized to the lysosome. This gene is located within a cluster of similar arylsulfatase genes on chromosome X. A related pseudogene has been identified in the pseudoautosomal region of chromosome Y. [provided by RefSeq, Jul 2011],
Catalog No
C14566
Reactivity
Human, Rat, Mouse
Source
Polyclonal, Rabbit,IgG
Modification
Unmodified/Total
Applications
IHC, IF, ELISA
Dilution
IHC 1:100 - 1:300. IF 1:200 - 1:1000. ELISA: 1:20000. Not yet tested in other applications.
Purification
The antibody was affinity-purified from rabbit antiserum by affinity-chromatography using epitope-specific immunogen.
Concentration
1 mg/ml
Storage and Stability
Store at -20°C/1 year
Other Name
ARSD; Arylsulfatase D; ASD
Molecular Weight (Da or kDa)
Gene Name
ARSD
Protein Name
Arylsulfatase D
Human Gene ID
414
Human Swiss Prot No.
P51689
Immunogen
The antiserum was produced against synthesized peptide derived from human ARSD. AA range:331-380
Specificity
Arylsulfatase D Polyclonal Antibody detects endogenous levels of Arylsulfatase D protein.
Formulation
Liquid in PBS containing 50% glycerol, 0.5% BSA and 0.02% sodium azide.
Related Products