25% Off Select Antibodies and ELISA Kits
Sign In/Register 0

We use cookies, check our Privacy Policies.

β-1,4-Gal-T3 Antibody
β-1,4-Gal-T3 Antibody

Assay Biotechnology Inc Antibodies and ELISA Kits have been rigorously validated for laboratory grade quality results. High specificity paired with high affinity for targets of interest give researchers an advantage with our products

Catalog No: C14725
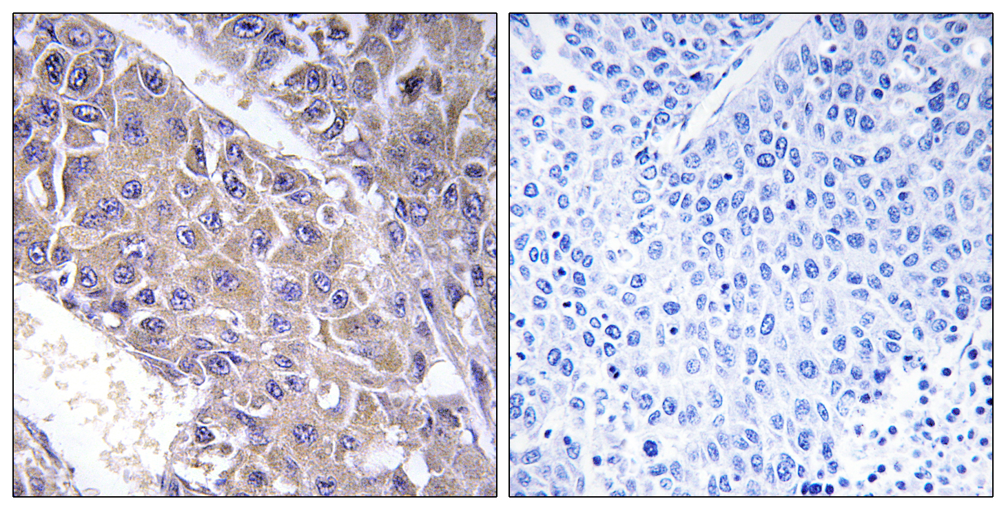
Reactivity:Human,Mouse,Rat
Applications:WB,IHC,IF,ELISA
Modification:Unmodified/Total
Source:Polyclonal,Rabbit,IgG
Storage and Stability:Store at -20°C/1 year

$205
Product Details
Product Name
β-1,4-Gal-T3 Antibody
Description
This gene is one of seven beta-1,4-galactosyltransferase (beta4GalT) genes. They encode type II membrane-bound glycoproteins that appear to have exclusive specificity for the donor substrate UDP-galactose; all transfer galactose in a beta1,4 linkage to similar acceptor sugars: GlcNAc, Glc, and Xyl. Each beta4GalT has a distinct function in the biosynthesis of different glycoconjugates and saccharide structures. As type II membrane proteins, they have an N-terminal hydrophobic signal sequence that directs the protein to the Golgi apparatus and which then remains uncleaved to function as a transmembrane anchor. By sequence similarity, the beta4GalTs form four groups: beta4GalT1 and beta4GalT2, beta4GalT3 and beta4GalT4, beta4GalT5 and beta4GalT6, and beta4GalT7.This gene encodes an enzyme that may be mainly involved in the synthesis of the first N-acetyllactosamine unit of poly-N-acet
Catalog No
C14725
Reactivity
Human, Mouse, Rat
Source
Polyclonal, Rabbit,IgG
Modification
Unmodified/Total
Applications
WB, IHC, IF, ELISA
Dilution
WB 1:500 - 1:2000. IHC 1:100 - 1:300. ELISA: 1:40000.. IF 1:50-200
Purification
The antibody was affinity-purified from rabbit antiserum by affinity-chromatography using epitope-specific immunogen.
Concentration
1 mg/ml
Storage and Stability
Store at -20°C/1 year
Other Name
B4GALT3; Beta-1; 4-galactosyltransferase 3; Beta-1,4-GalTase 3; Beta4Gal-T3; b4Gal-T3; UDP-Gal:beta-GlcNAc beta-1,4-galactosyltransferase 3; UDP-galactose:beta-N-acetylglucosamine beta-1,4-galactosyltransferase 3
Molecular Weight (Da or kDa)
Gene Name
B4GALT3
Protein Name
Beta-1,4-galactosyltransferase 3
Human Gene ID
8703
Human Swiss Prot No.
O60512
Immunogen
The antiserum was produced against synthesized peptide derived from human B4GALT3. AA range:271-320
Specificity
β-1,4-Gal-T3 Polyclonal Antibody detects endogenous levels of β-1,4-Gal-T3 protein.
Formulation
Liquid in PBS containing 50% glycerol, 0.5% BSA and 0.02% sodium azide.
Related Products
Publications (1)