25% Off Select Antibodies and ELISA Kits
Sign In/Register 0

We use cookies, check our Privacy Policies.

HNK-1ST Antibody
HNK-1ST Antibody

Assay Biotechnology Inc Antibodies and ELISA Kits have been rigorously validated for laboratory grade quality results. High specificity paired with high affinity for targets of interest give researchers an advantage with our products

Catalog No: C14921
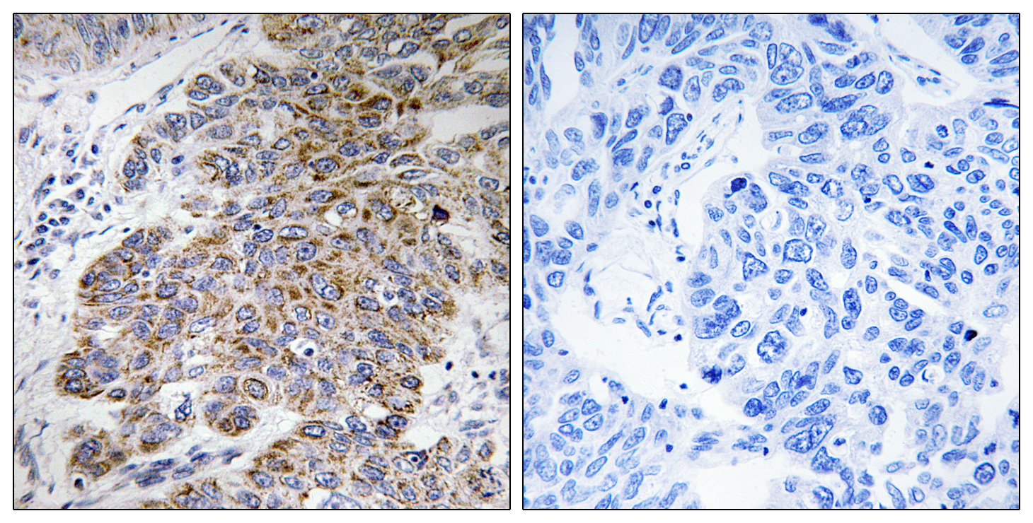
Reactivity:Human,Mouse,Rat
Applications:WB,IHC,IF,ELISA
Modification:Unmodified/Total
Source:Polyclonal,Rabbit,IgG
Storage and Stability:Store at -20°C/1 year

$205
Product Details
Product Name
HNK-1ST Antibody
Description
This protein encoded by this gene transfers sulfate to the C-3 hydroxyl of terminal glucuronic acid of protein- and lipid-linked oligosaccharides. This protein was first identified as a sulfotransferase that acts on the human natural killer-1 (HNK-1) glycan; HNK-1 is a carbohydrate involved in neurodevelopment and synaptic plasticity.[provided by RefSeq, Feb 2011],
Catalog No
C14921
Reactivity
Human, Mouse, Rat
Source
Polyclonal, Rabbit,IgG
Modification
Unmodified/Total
Applications
WB, IHC, IF, ELISA
Dilution
WB 1:500 - 1:2000. IHC 1:100 - 1:300. ELISA: 1:40000.. IF 1:50-200
Purification
The antibody was affinity-purified from rabbit antiserum by affinity-chromatography using epitope-specific immunogen.
Concentration
1 mg/ml
Storage and Stability
Store at -20°C/1 year
Other Name
CHST10; Carbohydrate sulfotransferase 10; HNK-1 sulfotransferase; HNK-1ST; HNK1ST; HuHNK-1ST
Molecular Weight (Da or kDa)
Gene Name
CHST10
Protein Name
Carbohydrate sulfotransferase 10
Human Gene ID
9486
Human Swiss Prot No.
O43529
Immunogen
The antiserum was produced against synthesized peptide derived from human CHST10. AA range:191-240
Specificity
HNK-1ST Polyclonal Antibody detects endogenous levels of HNK-1ST protein.
Formulation
Liquid in PBS containing 50% glycerol, 0.5% BSA and 0.02% sodium azide.
Related Products