25% Off Select Antibodies and ELISA Kits
Sign In/Register 0

We use cookies, check our Privacy Policies.

Cdc42EP2 Antibody
Cdc42EP2 Antibody

Assay Biotechnology Inc Antibodies and ELISA Kits have been rigorously validated for laboratory grade quality results. High specificity paired with high affinity for targets of interest give researchers an advantage with our products

Catalog No: C15023
Reactivity:Human,Mouse,Rat
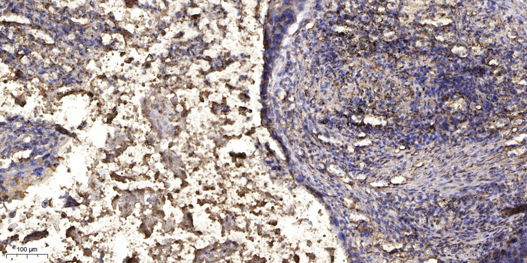
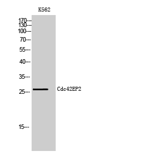
Applications:WB,IHC,IF,ELISA
Modification:Unmodified/Total
Source:Polyclonal,Rabbit,IgG
Storage and Stability:Store at -20°C/1 year

$205
Product Details
Product Name
Cdc42EP2 Antibody
Description
CDC42, a small Rho GTPase, regulates the formation of F-actin-containing structures through its interaction with the downstream effector proteins.The protein encoded byThis gene is a member of the Borg family of CDC42 effector proteins. Borg family proteins contain a CRIB (Cdc42/Rac interactive-binding) domain. They bind to, and negatively regulate the function of CDC42. Coexpression of this protein with CDC42 suggested a role of this protein in actin filament assembly and cell shape control. [provided by RefSeq, Aug 2011],
Catalog No
C15023
Reactivity
Human, Mouse, Rat
Source
Polyclonal, Rabbit,IgG
Modification
Unmodified/Total
Applications
WB, IHC, IF, ELISA
Dilution
WB 1:500 - 1:2000. IHC 1:100 - 1:300. ELISA: 1:40000.. IF 1:50-200
Purification
The antibody was affinity-purified from rabbit antiserum by affinity-chromatography using epitope-specific immunogen.
Concentration
1 mg/ml
Storage and Stability
Store at -20°C/1 year
Other Name
CDC42EP2; BORG1; CEP2; Cdc42 effector protein 2; Binder of Rho GTPases 1
Molecular Weight (Da or kDa)
Gene Name
CDC42EP2
Protein Name
Cdc42 effector protein 2
Human Gene ID
10435
Human Swiss Prot No.
O14613
Immunogen
The antiserum was produced against synthesized peptide derived from human BORG1. AA range:10-59
Specificity
Cdc42EP2 Polyclonal Antibody detects endogenous levels of Cdc42EP2 protein.
Formulation
Liquid in PBS containing 50% glycerol, 0.5% BSA and 0.02% sodium azide.
Related Products