25% Off Select Antibodies and ELISA Kits
Sign In/Register 0

We use cookies, check our Privacy Policies.

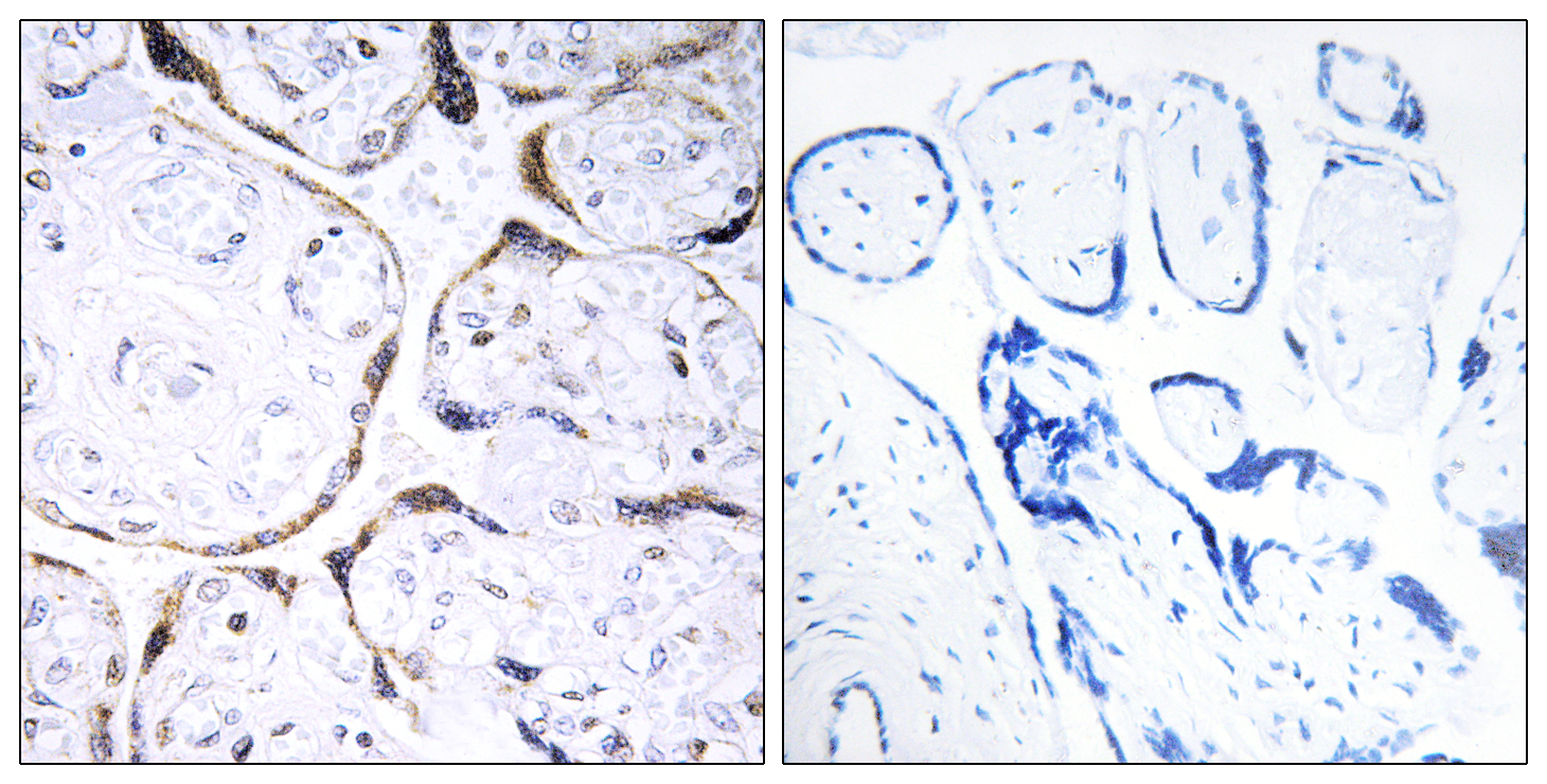
O-FucT-2 Antibody
O-FucT-2 Antibody

Assay Biotechnology Inc Antibodies and ELISA Kits have been rigorously validated for laboratory grade quality results. High specificity paired with high affinity for targets of interest give researchers an advantage with our products

Catalog No: C15898
Reactivity:Human,Mouse
Applications:IHC,IF,ELISA
Modification:Unmodified/Total
Source:Polyclonal,Rabbit,IgG
Storage and Stability:Store at -20°C/1 year

$205
Product Details
Product Name
O-FucT-2 Antibody
Description
Fucose is typically found as a terminal modification of branched chain glycoconjugates, but it also exists in direct O-linkage to serine or threonine residues within cystine knot motifs in epidermal growth factor (EGF; MIM 131530)-like repeats or thrombospondin (THBS; see MIM 188060) type-1 repeats. POFUT2 is an O-fucosyltransferase that use THBS type-1 repeats as substrates (Luo et al., 2006 [PubMed 16464857]).[supplied by OMIM, Mar 2008],
Catalog No
C15898
Reactivity
Human, Mouse
Source
Polyclonal, Rabbit,IgG
Modification
Unmodified/Total
Applications
IHC, IF, ELISA
Dilution
IHC 1:100 - 1:300. ELISA: 1:20000.. IF 1:50-200
Purification
The antibody was affinity-purified from rabbit antiserum by affinity-chromatography using epitope-specific immunogen.
Concentration
1 mg/ml
Storage and Stability
Store at -20°C/1 year
Other Name
POFUT2; C21orf80; FUT13; KIAA0958; GDP-fucose protein O-fucosyltransferase 2; Peptide-O-fucosyltransferase 2; O-FucT-2
Molecular Weight (Da or kDa)
50kD
Gene Name
POFUT2
Protein Name
GDP-fucose protein O-fucosyltransferase 2
Human Gene ID
23275
Human Swiss Prot No.
Q9Y2G5
Immunogen
The antiserum was produced against synthesized peptide derived from human POFUT2. AA range:361-410
Specificity
O-FucT-2 Polyclonal Antibody detects endogenous levels of O-FucT-2 protein.
Formulation
Liquid in PBS containing 50% glycerol, 0.5% BSA and 0.02% sodium azide.
Related Products