25% Off Select Antibodies and ELISA Kits
Sign In/Register 0

We use cookies, check our Privacy Policies.

KLHL29 Antibody
KLHL29 Antibody

Assay Biotechnology Inc Antibodies and ELISA Kits have been rigorously validated for laboratory grade quality results. High specificity paired with high affinity for targets of interest give researchers an advantage with our products

Catalog No: C16417
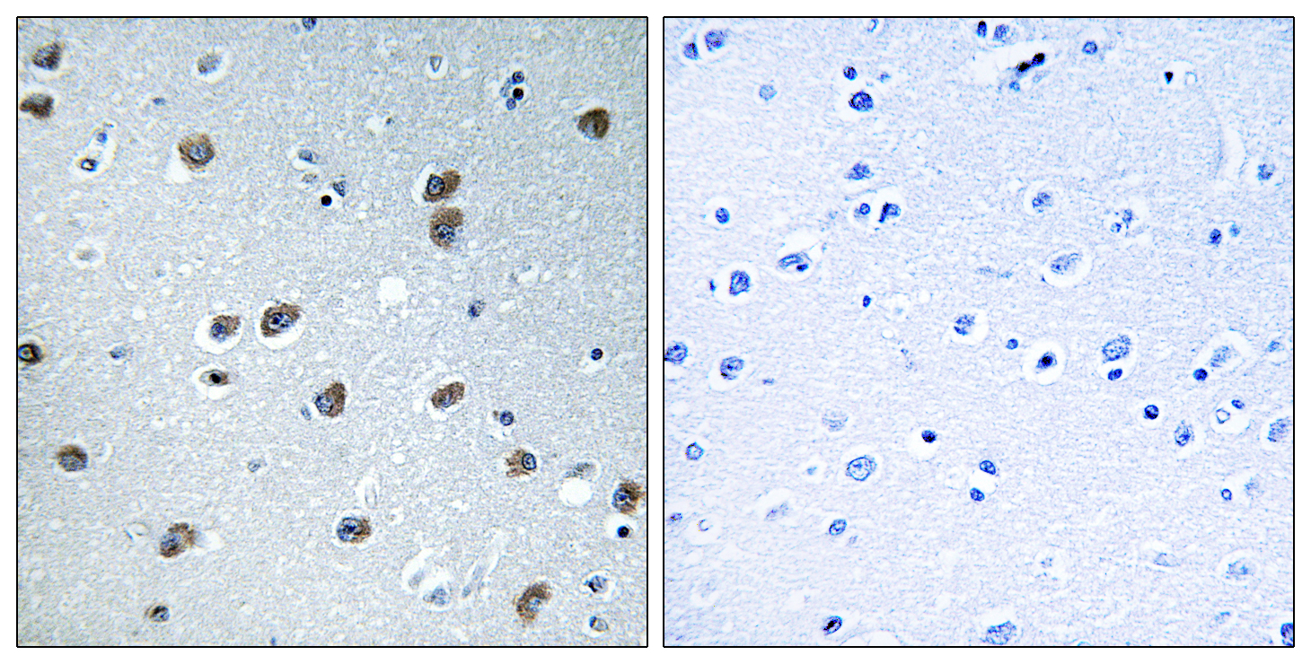
Reactivity:Human,Mouse
Applications:IHC,IF,ELISA
Modification:Unmodified/Total
Source:Polyclonal,Rabbit,IgG
Storage and Stability:Store at -20°C/1 year

$205
Product Details
Product Name
KLHL29 Antibody
Description
caution:Although the complete sequence is not known with certainty, sequence shown here appears to be the most probable in accordance with the mouse sequence ortholog.,similarity:Contains 1 BTB (POZ) domain.,similarity:Contains 6 Kelch repeats.,
Catalog No
C16417
Reactivity
Human, Mouse
Source
Polyclonal, Rabbit,IgG
Modification
Unmodified/Total
Applications
IHC, IF, ELISA
Dilution
IHC 1:100 - 1:300. ELISA: 1:40000.. IF 1:50-200
Purification
The antibody was affinity-purified from rabbit antiserum by affinity-chromatography using epitope-specific immunogen.
Concentration
1 mg/ml
Storage and Stability
Store at -20°C/1 year
Other Name
KLHL29; KBTBD9; KIAA1921; Kelch-like protein 29; Kelch repeat and BTB domain-containing protein 9
Molecular Weight (Da or kDa)
71kD
Gene Name
KLHL29
Protein Name
Kelch-like protein 29
Human Gene ID
114818
Human Swiss Prot No.
Q96CT2
Immunogen
The antiserum was produced against synthesized peptide derived from human KLHL29. AA range:261-310
Specificity
KLHL29 Polyclonal Antibody detects endogenous levels of KLHL29 protein.
Formulation
Liquid in PBS containing 50% glycerol, 0.5% BSA and 0.02% sodium azide.
Related Products