25% Off Select Antibodies and ELISA Kits
Sign In/Register 0

We use cookies, check our Privacy Policies.

MGST3 Antibody
MGST3 Antibody

Assay Biotechnology Inc Antibodies and ELISA Kits have been rigorously validated for laboratory grade quality results. High specificity paired with high affinity for targets of interest give researchers an advantage with our products

Catalog No: C16642
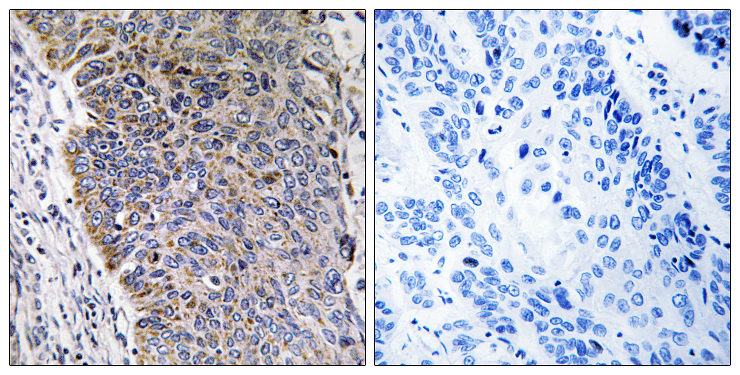
Reactivity:Human,Mouse
Applications:IHC,IF,ELISA
Modification:Unmodified/Total
Source:Polyclonal,Rabbit,IgG
Storage and Stability:Store at -20°C/1 year

$205
Product Details
Product Name
MGST3 Antibody
Description
This gene encodes a member of the MAPEG (Membrane Associated Proteins in Eicosanoid and Glutathione metabolism) protein family. Members of this family are involved in the production of leukotrienes and prostaglandin E, important mediators of inflammation.This gene encodes an enzyme which catalyzes the conjugation of leukotriene A4 and reduced glutathione to produce leukotriene C4. This enzyme also demonstrates glutathione-dependent peroxidase activity towards lipid hydroperoxides.[provided by RefSeq, May 2011],
Catalog No
C16642
Reactivity
Human, Mouse
Source
Polyclonal, Rabbit,IgG
Modification
Unmodified/Total
Applications
IHC, IF, ELISA
Dilution
IHC 1:100 - 1:300. ELISA: 1:10000.. IF 1:50-200
Purification
The antibody was affinity-purified from rabbit antiserum by affinity-chromatography using epitope-specific immunogen.
Concentration
1 mg/ml
Storage and Stability
Store at -20°C/1 year
Other Name
MGST3; Microsomal glutathione S-transferase 3; Microsomal GST-3; Microsomal GST-III
Molecular Weight (Da or kDa)
17kD
Gene Name
MGST3
Protein Name
Microsomal glutathione S-transferase 3
Human Gene ID
4259
Human Swiss Prot No.
O14880
Immunogen
The antiserum was produced against synthesized peptide derived from human MGST3. AA range:8-57
Specificity
MGST3 Polyclonal Antibody detects endogenous levels of MGST3 protein.
Formulation
Liquid in PBS containing 50% glycerol, 0.5% BSA and 0.02% sodium azide.
Related Products