25% Off Select Antibodies and ELISA Kits
Sign In/Register 0

We use cookies, check our Privacy Policies.

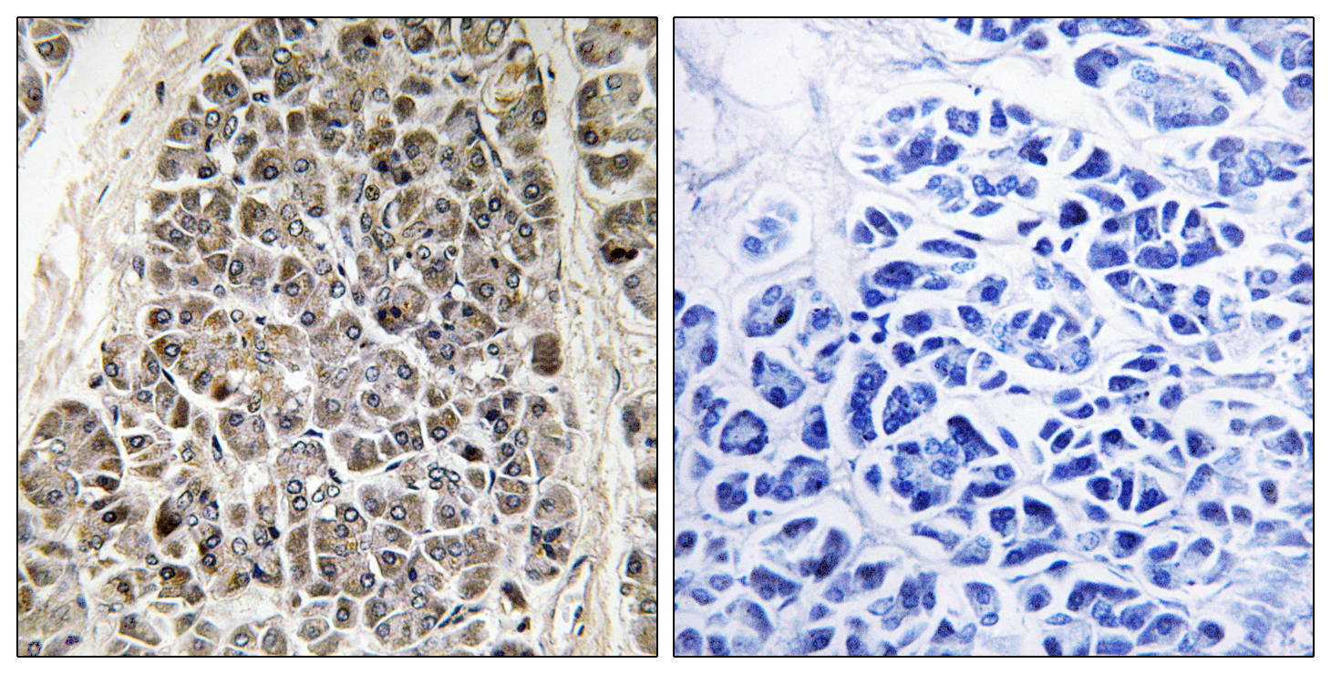
MRP-S21 Antibody
MRP-S21 Antibody

Assay Biotechnology Inc Antibodies and ELISA Kits have been rigorously validated for laboratory grade quality results. High specificity paired with high affinity for targets of interest give researchers an advantage with our products

Catalog No: C16653
Reactivity:Human,Mouse,Rat,Monkey
Applications:WB,IHC,IF,ELISA
Modification:Unmodified/Total
Source:Polyclonal,Rabbit,IgG
Storage and Stability:Store at -20°C/1 year

$205
Product Details
Product Name
MRP-S21 Antibody
Description
Mammalian mitochondrial ribosomal proteins are encoded by nuclear genes and help in protein synthesis within the mitochondrion. Mitochondrial ribosomes (mitoribosomes) consist of a small 28S subunit and a large 39S subunit. They have an estimated 75% protein to rRNA composition compared to prokaryotic ribosomes, where this ratio is reversed. Another difference between mammalian mitoribosomes and prokaryotic ribosomes is that the latter contain a 5S rRNA. Among different species, the proteins comprising the mitoribosome differ greatly in sequence, and sometimes in biochemical properties, which prevents easy recognition by sequence homology.This gene encodes a 28S subunit protein that belongs to the ribosomal protein S21P family. Pseudogenes corresponding to this gene are found on chromosomes 1p, 1q, 9p, 10p, 10q, 16q, and 17q. Available sequence data analyses identified splice varian
Catalog No
C16653
Reactivity
Human, Mouse, Rat, Monkey
Source
Polyclonal, Rabbit,IgG
Modification
Unmodified/Total
Applications
WB, IHC, IF, ELISA
Dilution
WB 1:500 - 1:2000. IHC 1:100 - 1:300. IF 1:200 - 1:1000. ELISA: 1:40000. Not yet tested in other applications.
Purification
The antibody was affinity-purified from rabbit antiserum by affinity-chromatography using epitope-specific immunogen.
Concentration
1 mg/ml
Storage and Stability
Store at -20°C/1 year
Other Name
MRPS21; RPMS21; MDS016; 28S ribosomal protein S21; mitochondrial; MRP-S21; S21mt
Molecular Weight (Da or kDa)
Gene Name
MRPS21
Protein Name
28S ribosomal protein S21 mitochondrial
Human Gene ID
54460
Human Swiss Prot No.
P82921
Immunogen
The antiserum was produced against synthesized peptide derived from human MRPS21. AA range:38-87
Specificity
MRP-S21 Polyclonal Antibody detects endogenous levels of MRP-S21 protein.
Formulation
Liquid in PBS containing 50% glycerol, 0.5% BSA and 0.02% sodium azide.
Related Products