25% Off Select Antibodies and ELISA Kits
Sign In/Register 0

We use cookies, check our Privacy Policies.

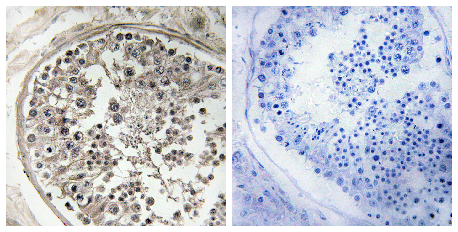
MRP-S5 Antibody
MRP-S5 Antibody

Assay Biotechnology Inc Antibodies and ELISA Kits have been rigorously validated for laboratory grade quality results. High specificity paired with high affinity for targets of interest give researchers an advantage with our products

Catalog No: C16664
Reactivity:Human,Rat,Mouse
Applications:IHC,IF,ELISA
Modification:Unmodified/Total
Source:Polyclonal,Rabbit,IgG
Storage and Stability:Store at -20°C/1 year

$205
Product Details
Product Name
MRP-S5 Antibody
Description
Mammalian mitochondrial ribosomal proteins are encoded by nuclear genes and help in protein synthesis within the mitochondrion. Mitochondrial ribosomes (mitoribosomes) consist of a small 28S subunit and a large 39S subunit. They have an estimated 75% protein to rRNA composition compared to prokaryotic ribosomes, where this ratio is reversed. Another difference between mammalian mitoribosomes and prokaryotic ribosomes is that the latter contain a 5S rRNA. Among different species, the proteins comprising the mitoribosome differ greatly in sequence, and sometimes in biochemical properties, which prevents easy recognition by sequence homology.This gene encodes a 28S subunit protein that belongs to the ribosomal protein S5P family. Pseudogenes corresponding to this gene are found on chromosomes 4q, 5q, and 18q. [provided by RefSeq, Jul 2008],
Catalog No
C16664
Reactivity
Human, Rat, Mouse
Source
Polyclonal, Rabbit,IgG
Modification
Unmodified/Total
Applications
IHC, IF, ELISA
Dilution
IHC 1:100 - 1:300. ELISA: 1:40000.. IF 1:50-200
Purification
The antibody was affinity-purified from rabbit antiserum by affinity-chromatography using epitope-specific immunogen.
Concentration
1 mg/ml
Storage and Stability
Store at -20°C/1 year
Other Name
MRPS5; 28S ribosomal protein S5; mitochondrial; MRP-S5; S5mt
Molecular Weight (Da or kDa)
48kD
Gene Name
MRPS5
Protein Name
28S ribosomal protein S5 mitochondrial
Human Gene ID
64969
Human Swiss Prot No.
P82675
Immunogen
The antiserum was produced against synthesized peptide derived from human MRPS5. AA range:367-416
Specificity
MRP-S5 Polyclonal Antibody detects endogenous levels of MRP-S5 protein.
Formulation
Liquid in PBS containing 50% glycerol, 0.5% BSA and 0.02% sodium azide.
Related Products